Красивая улыбка – это не только привлекательный внешний вид человека, но и показатель его здоровья и успешности. Ортодонтическая стоматология занимается устранением патологий зубочелюстной системы. В ее арсенале имеется множество методик, позволяющих скорректировать дефекты окклюзии и сделать зубы ровными. Отсутствие лечения неизбежно приводит к стоматологическим проблемам, головным болям, болезням желудочно-кишечного тракта, плечевого сустава и спины.
Клиника ортодонтии «Улыбнись» предлагает весть спектр медицинских услуг для коррекции аномального прикуса и выправления вектора роста зубов.
Показание к ортодонтическому лечению
Обратиться в один из наших филиалов следует в следующих ситуациях:
- при дефектах окклюзии, вызванных врожденными аномалиями, вредными привычками;
- при неправильном направлении роста зубов;
- при наличии промежутков между зубными элементами или, напротив, при их скученности;
- при травмах зубочелюстного аппарата.
Методы ортодонтии
Современная стоматология располагает множеством методик для успешной коррекции ортодонтических дефектов:
- функциональный метод (миогимнастика). В раннем детском возрасте является единственно возможным способом, в более старшем служит дополнением к аппаратному воздействию;
- корректирующая терапия с применением несъемных вестибулярных (наружных) и лингвальных (внутренних) брекет-систем;
- лечение с помощью съемных устройств: трейнеров, пластинок. Метод применяется для коррекции окклюзии у детей на этапе перехода от молочных к постоянным зубам;
- исправление прикуса с использованием элайнеров (съемных прозрачных капп);
- комбинированный метод, подразумевающий использование нескольких способов.
Выбор нужной методики осуществляется врачом-ортодонтом после детальной диагностики в соответствии с возрастом пациента и особенностями его проблемы. Наша ортодонтическая клиника обладает всеми возможностями для оказания помощи в сфере ортодонтии любого уровня сложности. Мы используем эффективные методики и ортодонтические устройства, успешно апробированные в ведущих стоматологических центрах мира.
Этапы ортодонтического лечения
Исправление дефектов зубочелюстной системы – это долгий и кропотливый процесс, состоящий из нескольких этапов:
- консультация врача-ортодонта для выявления показаний и особенностей конкретного пациента;
- аппаратная диагностика;
- разработка лечебного плана;
- изготовление ортодонтического аппарата по индивидуальным показаниям;
- санация полости рта;
- фиксация брекетов или установка съемных конструкций;
- курсовая терапия под наблюдением лечащего врача;
- ретенционный этап для закрепления полученных результатов с ношением специальных устройств – ретейнеров.
Ценообразование в наших центрах
Стоимость ортодонтических услуг в нашей сети стоматологий зависит от следующих факторов:
- сложности клинического случая;
- возраста пациента;
- выбранного метода терапии и ортодонтической коррекционной системы.
Цена лечения в сети стоматологических клиник «Улыбнись» является фиксированной на момент начала терапии. Ознакомиться с расценками можно в нашем прайс-листе.
Преимущества обращения в «Улыбнись»
При обращении в стоматологии «Улыбнись» мы гарантируем доступные цены, а также:
- качество обслуживания на уровне мировых стандартов;
- лечение у врачей высшей категории;
- применение инновационного диагностического оборудования;
- возможность беспроцентной рассрочки оплаты;
- семейную скидку при обслуживании нескольких членов семьи;
- документы для оформления налогового вычета;
- бесплатные консультации всех специалистов при брекет-терапии;
- удобный график приема, мы работаем даже в выходные дни.
Наш центр ортодонтии имеет два филиала в Москве. Записаться на прием можно в любой из них по телефону или оставив заявку на этом сайте. Филиалы располагаются по адресам:
- в районе станции метро Алексеевская (район ВДНХ и проспекта Мира) по адресу: ул. 3-я Мытищинская д. 3, к. 2;
- недалеко от ст. метро Шелепиха, адрес: Шелепихинская набережная, д. 34, к. 1.
Персональный комплексный подход к проблеме каждого пациента, эффективные методы терапии и диагностики, высокая квалификация и богатый опыт работы – главные преимущества наших специалистов. Мы поможем вам обрести здоровье и красоту. Лучшая награда – это ваши счастливые улыбки! Мы ждем вас!
Видео: Сеть стоматологий «Улыбнись»
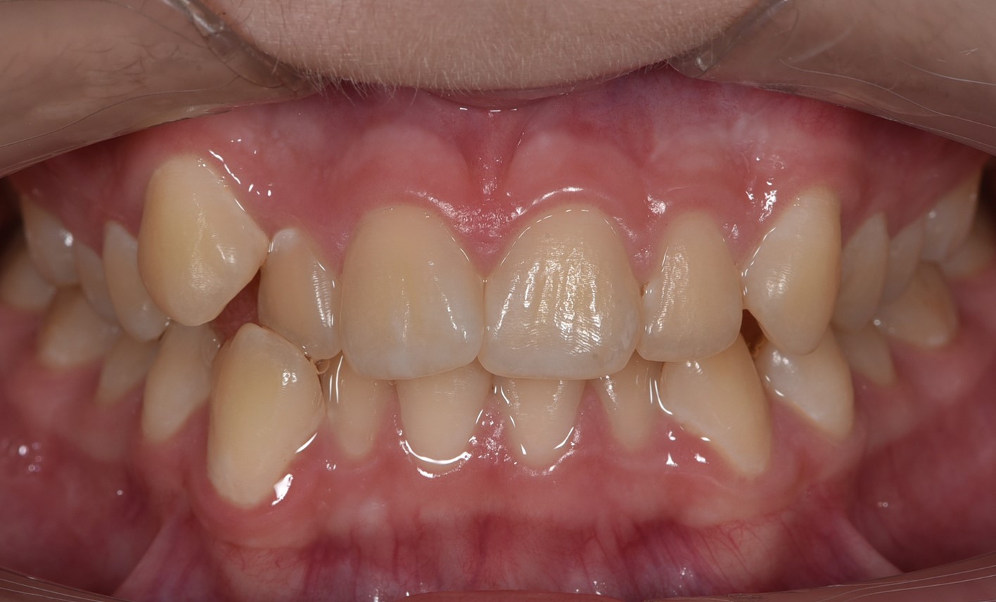
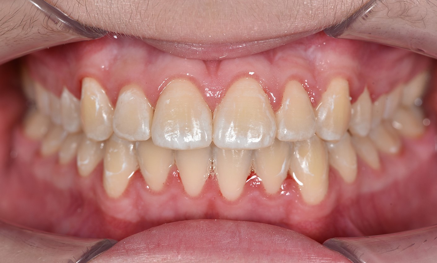
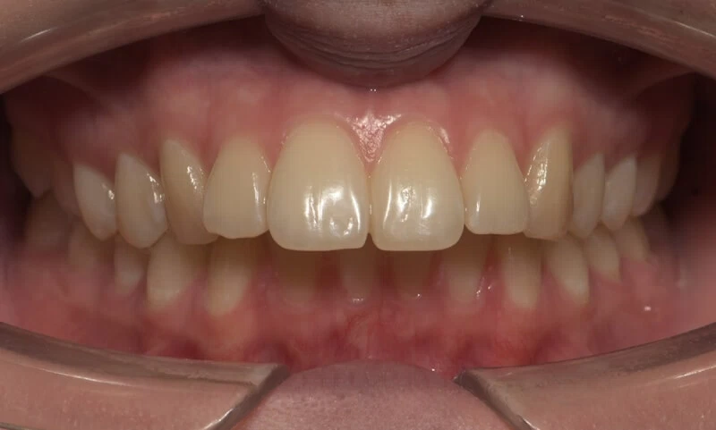
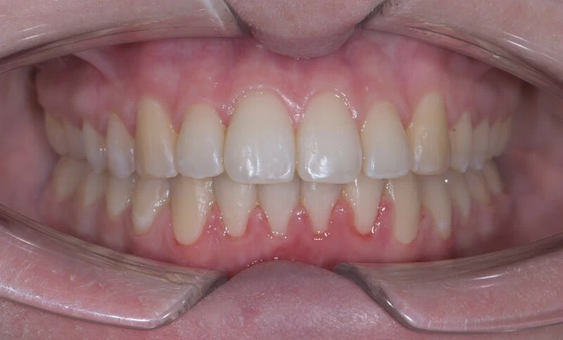
Фото до и после лечения













Стаж работы
Наши работы



Отзывы пациентов
Другие услуги клиники
ПоказатьФотогалерея








Наши Врачи
Заказать обратный звонок
Оформите заявку на сайте, мы свяжемся с вами в ближайшее
время и ответим на все интересующие вопросы.
|
Запись онлайн
|
Интерьеры клиники на Шелепихе








Интерьеры клиники на Алексеевской








Читайте также
Здравствуйте! Очень довольна тем, как закончился курс коррекции на брекетах. Мой лечащий врач Галина Сергеевна проделала огромную и кропотливую работу, за что ей большое спасибо
Уже полгода как я лечусь у вас.К брекетам привыкла быстро,практически ничего не болит. Муж теперь готов тоже на ортодонтическое лечение,был у вас на консультации,вы убедили)))так что теперь у нас семейство брекетоносцев!спасибо за позитивное лечение!
Возможен как наличный, так и безналичный расчет
Банузова Т.А. и Ременская С.О работают по индивидуальному прайс-листу(стоимость лечения от 350 т.р).
Стоимость сложных случаев с подготовкой к ортогнатической хирургии: стоимость лечения+10%