Сеть стоматологических клиник
+7 (499) 174-92-92
Заказать звонок
Улыбнись - сеть стоматологических клиник
Запись онлайн
Услуги
  • Профилактика зубов
    • Профилактическая гигиена зубов с брекетами
    • Профессиональная гигиена полости рта по протоколу Gbt
    • Комплексная чистка зубов
    • Фторирование зубов
    • Ультразвуковая чистка
  • Лечение зубов
    • Консультация терапевта
    • Лечение зубов под микроскопом
    • Лечение кариеса
    • Реставрация зубов
    • Лечение пульпита
    • Лечение периодонтита
    • Перелечивание каналов
    • Лечение кисты зуба
    • Лечение корневых каналов под микроскопом
    • Эндодонтическое лечение корневых каналов зубов
    • Чистка каналов
    • Лечение гранулемы
    • Световая пломба
    • Пломба на передний зуб
    • Лечение зубов под седацией взрослым
    • Лечение зубов под наркозом взрослым
    • Гранулема зуба
    • Эстетическая реставрация зубов
    • Художественная реставрация зубов
    • Реставрация передних зубов
    • Лечение флюороза
    • Лечение пришеечного кариеса
    • Композитная реставрация зубов
  • Лечение зубов детям
    • Консультация детского стоматолога
    • Диагностика зубов у детей
    • Ремтерапия для детей
    • Фторирование зубов у детей
    • Профессиональная чистка зубов детям
    • Герметизация фиссур у детей
    • Лечение постоянных зубов у детей
    • Лечение молочных зубов
    • Лечение зубов детям под микроскопом
    • Лечение периодонтита у детей
    • Лечение пульпита молочных зубов у детей
    • Лечение кариеса зубов у детей
    • Удаление зубов под седацией детям
    • Удаление зубов под наркозом детям
    • Лечение зубов под наркозом детям
    • Лечение зубов под седацией детям
  • Ортодонтия
    • Консультация Ортодонта
    • Ортодонтическая диагностика
    • Брекеты
    • Лигатурные брекеты
    • Металлические брекеты
    • Самолигирующие брекеты Damon
    • Керамические брекеты
    • Win лингвальные брекеты
    • Лингвальные брекеты
    • Вестибулярные (внешние) брекеты
    • Брекеты на обе челюсти
    • Брекеты на нижнюю челюсть
    • Исправление прикуса брекетами
    • Брекеты на верхнюю челюсть
    • Исправление прикуса
    • Капы для выравнивания зубов Flexiligner
    • Капы для выравнивания зубов на верхнюю челюсть (flexiligner)
    • Капы для выравнивания зубов на нижнюю челюсть (flexiligner)
    • Исправление прикуса капами
    • Каппы FlexiLigner
    • Скученность нижних зубов
    • Скученность зубов
    • Диастема: лечение
    • Исправление открытого прикуса
    • Исправление перекрестного прикуса
    • Исправление мезиального прикуса
    • Исправление дистального прикуса
    • Исправление глубокого прикуса
    • Подготовка к ортогнатической хирургии
    • Реабилитация после ортогнатической хирургии
    • Ретейнеры
    • Лицевая ортодонтическая маска
    • Исправление прикуса лицевой дугой
    • Аппарат Forsus
    • Аппарат Carriere distalizer
    • MEAW – техника многопетлевой дуги
  • Детская ортодонтия
    • Консультация и Диагностика
    • Трейнеры
    • Пластинки
    • Ортодонтические аппараты
    • Флексики
    • Каппы KidsLight
    • Брекеты на четыре передних зуба у детей
    • Установка брекетов подросткам
    • Лечение диастемы у детей
    • Скученность зубов у детей
    • Частичные брекеты для детей
    • Короткая уздечка языка
    • Миофункциональная ортодонтия
    • Трейнер Миобрейз. Эластичный термопластичный биоактиватор Мицериум. LM-активатор
    • Миофункциональный аппарат FroggyMouth
    • Аппарат Марко Росса (Хааса)
    • Аппарат Твин Блок
    • Пластинка с винтом Бертони
    • Удерживатель пространства (кольцо-петля)
    • Аппарат Дерихсвайлера
    • Аппарат ALF
  • Подростковая стоматология
    • Фторирование зубов у подростков
    • Профессиональная гигиена у подростков
    • Герметизация фиссур у подростков
    • Удаление зубов у подростков
    • Удаление зубов мудрости у подростков
    • Ортодонтия у подростков
    • Лечение пульпита у подростков
    • Лечение периодонтита у подростков
    • Лечение кариеса у подростков
    • Лечение заболеваний десен у подростков
  • Протезирование зубов
    • Консультация Ортопеда
    • Керамическая реставрация зубов
    • Эстетическая Стоматология
    • Протезирование зубов под наркозом
    • Виниры
    • Люминиры
    • Микропротезирование
    • Циркониевые коронки
    • Керамические коронки
    • Протезирование передних зубов
    • Пластиночные зубные протезы
    • Бюгельные зубные протезы
    • Протезирование зубов All-on-4
    • Протезирование на имплантах
    • Мостовидные протезы
    • Комбинированные протезы
    • Несъемные протезы
    • Съемные протезы
  • Имплантация зубов
    • Консультация Хирурга Имплантолога
    • Подготовка к имплантации
    • Имплантация за один день
    • Одноэтапная имплантация зубов
    • Экспресс-имплантация
    • Комплексная имплантация зубов
    • Комплексная имплантация под ключ
    • Имплантация верхних зубов
    • Имплантация нижних зубов
    • Мультиюнит
    • Имплантация жевательных зубов
    • Одномоментная имплантация зубов
    • Имплантация двух зубов
    • Классическая имплантация
    • Имплантация передних зубов
    • Имплантация с моментальной нагрузкой
    • Дентальная имплантация
    • Имплантация 1 зуба
    • Импланты Astra Tech
    • Импланты зубов Штрауман (Straumann)
    • Импланты Dentium
    • Имплантация All-on-8
    • Имплантация All-on-6
    • Имплантация All-on-4
    • Синус-лифтинг
    • Остеопластика
    • Аугментация и наращивание костной ткани
    • Лоскутная операция
    • Мини-импланты
    • Имплантация зубов под наркозом
    • Расщепление альвеолярного гребня
    • Подсадка костного блока при имплантации
    • Плазмолифтинг зубов
    • Направленная костная регенерация
    • Лифтинг верхней челюсти при имплантации зубов
    • Установка импланта зуба
    • Трансгингивальная имплантация
    • Открытый синус-лифтинг
    • Имплантация при полном отсутствии зубов
    • Имплантация при пародонтите
    • Закрытый синус-лифтинг
  • Хирургическая стоматология
    • Пластика уздечки губы
    • Открытый кюретаж десен
    • Закрытый кюретаж десны
    • Пластика уздечки языка у взрослых
    • Пластика рецессии десны
    • Цистэктомия зуба
    • Удаление экзостоза
    • Резекция верхушки корня зуба
    • Пьезохирургия
    • Лечение альвеолита
    • Гингивопластика
  • Удаление зубов
    • Удаление молочных зубов
    • Удаление зуба сложное
    • Удаление зуба мудрости
    • Удаление зубов под седацией
    • Удаление зубов под наркозом
    • Удаление зуба мудрости под седацией
    • Удаление зуба мудрости под наркозом
    • Удаление ретинированного зуба
    • Удаление ретенционной кисты
    • Удаление дистопированного зуба
    • Ретинированный дистопированный зуб
    • Альвеолит зуба
  • Пародонтология
    • Консультация пародонтолога
    • Лечение вектором
    • Пластика десны
    • Лечение Пародонтита
    • Лечение Пародонтоза
    • Лечение Гингивита
    • Вестибулопластика
  • Отбеливание зубов
    • ZOOM 4 отбеливание
    • Домашнее отбеливание
  • Цифровая диагностика
    • Ортопантомограмма
    • Телерентгенограмма
    • Компьютерная томография
    • Рентген пазух носа
Цены
  • Лечение зубов под микроскопом
  • Профилактика и гигиена
  • Отбеливание зубов
  • Ортодонтическое лечение
  • Протезирование зубов
  • Хирургическое лечение
  • Хирургия полости рта
  • Имплантация зубов
  • Лечение травмы зуба
  • Анестезиология
  • Наркоз и седация
  • Эстетическая стоматология
  • Рентгендиагностика
  • Детская стоматология
  • Подростковая стоматология
Акции
Клиники
  • О клиниках
  • Правовая информация
  • Статьи
  • Лечение по ДМС
  • Налоговый вычет
  • Вакансии
Врачи
  • Ортодонты
    • Банузова Татьяна Александровна
    • Ременская Софья Олеговна
    • Ушакова Александра Геннадьевна
    • Ступина Валерия Дмитриевна
    • Кагина (Климова) Анастасия Андреевна
    • Пичугина Юлия Максимовна
  • Ортопеды
    • Гречкин Алексей Викторович
    • Цой Анастасия Геннадиевна
    • Саргсян Артур Манвелович
    • Филатова Ольга Мункуевна
    • Лобач (Безпрозванная) Полина Владимировна
    • Тагиев Парвин Эльханович
  • Хирурги
    • Бородин Михаил Станиславович
    • Поздеев Игорь Андреевич
    • Бударова Светлана Алексеевна
  • Терапевты
    • Арзиманова Виолетта Александровна
    • Тхагапсова Арина Рафаэльевна
    • Уколова Екатерина Руслановна
    • Будаев Дмитрий Викторович
    • Папенко Татьяна Михайловна
    • Никифорова Кристина Сергеевна
    • Базурова Анна Андреевна
    • Филипенко (Шершнева) Виктория Олеговна
    • Мягкова Евгения Михайловна
    • Щигельский Владимир Валерьевич
  • Гигиенисты
    • Рысюк Татьяна Николаевна
    • Лосева Галина Андреевна
    • Веселкова Яна Андреевна
    • Чопурова Айтэн Илгаровна
  • Детские стоматологи
    • Гринденко Инна Сергеевна
  • Пародонтологи
    • Кошмина Кристина Владимировна
  • Координаторы
    • Лебедева Анастасия
    • Лапуцкая Алёна
  • Анестезиологи
    • Таишева Наиля Исмаиловна
Отзывы
Наши Работы
Контакты
Ещё
    Улыбнись - сеть стоматологических клиник
    Стоматология  «Улыбнись»
    • Главная
    • Услуги
    • Детская ортодонтия

    Детская ортодонтия

    • Профилактика зубов
    • Лечение зубов
    • Лечение зубов детям
    • Ортодонтия
    • Детская ортодонтия
      • Консультация и Диагностика
      • Трейнеры
      • Пластинки
      • Ортодонтические аппараты
      • Флексики
      • Каппы KidsLight
      • Брекеты на четыре передних зуба у детей
      • Установка брекетов подросткам
      • Лечение диастемы у детей
      • Скученность зубов у детей
      • Частичные брекеты для детей
      • Короткая уздечка языка
      • Миофункциональная ортодонтия
      • Трейнер Миобрейз. Эластичный термопластичный биоактиватор Мицериум. LM-активатор
      • Миофункциональный аппарат FroggyMouth
      • Аппарат Марко Росса (Хааса)
      • Аппарат Твин Блок
      • Пластинка с винтом Бертони
      • Удерживатель пространства (кольцо-петля)
      • Аппарат Дерихсвайлера
      • Аппарат ALF
    • Подростковая стоматология
    • Протезирование зубов
    • Имплантация зубов
    • Хирургическая стоматология
    • Удаление зубов
    • Пародонтология
    • Отбеливание зубов
    • Цифровая диагностика
    Детская ортодонтия



    • Описание
    • Цены
    • Отзывы
    • Видео
    Описание

    Показания к ортодонтическому лечению

    Зачастую патологии зубочелюстной системы у детей заметны даже невооруженным глазом, их могут обнаружить родители еще до посещения ортодонта. К ним относится:

    • выпирание одной из челюстей;
    • зубы, выросшие вне дентального ряда;
    • скученное расположение зубов;
    • аномально большие межзубные промежутки;
    • логопедические дефекты;
    • трудность пережевывания;
    • чрезмерная истираемость зубной эмали;
    • патологии прикуса.

    Патологии прикуса – это неправильное соотношение зубов при смыкании зубных рядов (вне зависимости от причины). Классифицируют несколько видов нарушения окклюзии:

    • глубокий прикус (верхний зубной ряд перекрывает нижний);
    • открытый (зубы во фронтальной зоне не соприкасаются);
    • перекрестный (зубные ряды соприкасаются, перекрещиваясь);
    • дистальный (верхняя челюсть выдвинута вперед);
    • мезиальный (выдвинута нижняя челюсть).

    Противопоказания

    Не все патологии зубов и челюстей можно и нужно исправлять. Так, незначительные нарушения, не влияющие на пережевывание пищи и дикцию, а также не ухудшающие эстетику лица, лечить не обязательно. Ортодонты сети наших клиник выявляют наличие аномалий и оценивают необходимость лечения после проведения тщательной аппаратной диагностики. Некоторые нарушения, которые поддаются только коррекционной терапии на брекетах, не назначают детям до того, как у них прорежутся постоянные зубы.

    На заметку: не следует самостоятельно оценивать, нужна ли вашему ребенку коррекционная терапии. Верное заключение может дать только ортодонт.

    Методики, применяемые в детской ортодонтии

    Выбор технологии и схемы лечения зависит от тяжести клинического случая и от возраста ребенка. Разработаны и успешно применяются несколько методов коррекции патологий. Это упражнения миогимнастики, ортодонтические пластинки, трейнеры, ретейнеры, элайнеры, брекет-системы.

    Миогимнастика – это комплекс упражнений лечебной физкультуры, ориентированный на укрепление жевательных и мимических мышц. В результате улучшается мышечная моторика и корректируются функциональные и эстетические параметры челюстной системы. Гимнастика эффективна как основной метод коррекции в младшем детском возрасте и в качестве вспомогательного при лечении с применением ортодонтических аппаратов. Результат достижим при условии систематичности и последовательности. Поэтому основная нагрузка ложится на плечи родителей, которые должны регулярно заниматься с детьми.

    Ортодонтические пластинки – съемные аппараты для коррекции окклюзии. Конструкция состоит из пластикового базиса, металлических дуг, пружинок и крючков. В результате лечения начинают правильно смыкаться губы, корректируется работа жевательных мышц, тем самым формируя правильный прикус. Ношение пластинок показано в возрасте от 6 до 11 лет, когда идет активный рост челюстных костей. Часто такое лечение является предварительным этапом перед коррекционной терапией на брекетах.

    Трейнеры – съемные миофункциональные корректоры для исправления неправильного прикуса в возрасте от 3 до 11 лет. Они устраняют причины нарушения окклюзии, воздействуя на мышецы лица. Эффективны на начальных этапах коррекции. Визуально напоминают спортивные каппы. Врачи нашей детской ортодонтии в Москве применяют в своей практике положительно зарекомендовавшие себя финские трейнеры LM-активаторы и австралийские Миобрайс.

    Ретейнеры – съемные или несъемные устройства, применяемые для закрепления результата лечения на брекетах. Несъемные представляют из себя металлическую проволоку, фиксируемую на внутреннюю сторону зубов. Съемные – это ортодонтические каппы. Выбор оптимального варианта ретейнеров делает доктор, исходя из условий клинического случая.

    Брекет-система – несъемный ортодонтический аппарат для коррекции окклюзии любой сложности. Используют при сформированном постоянном прикусе, т. е. у подростков от 12 лет и более взрослых пациентов. В нашей клинике мы применяем для терапии только самые эффективные модели:

    • металлические брекеты Biomim и Victory;
    • самолигирующиеся металлические DamonQ и H4;
    • керамические Advanced;
    • самолигирующиеся керамические Damon Clear;
    • лингвальные WIN и INCOGNITO.

    Элайнеры – съемные ортодонтические каппы, во многих клинических случаях являются достойной альтернативой брекетам. Носят их круглосуточно, снимая лишь для того, чтобы поесть или почистить зубы. Специалисты нашей детской ортодонтической стоматологии рекомендуют для коррекционной терапии каппы FlexiLigner и KidsLight.

    Хирургическое лечение – радикальный метод исправления аномалий зубочелюстной системы, применяемый в самых сложных случаях, когда все другие варианты лечения не эффективны. Хирургическое вмешательство такого типа относится к категории сложных, поэтому проводится только в специализированных стационарах.

    Важно: ортодонтическое лечение проводится только после тщательной визуальной и аппаратной диагностики. Все наши филиалы оснащены современной высокоточной диагностической аппаратурой. Вы можете быть уверены, что диагноз вашему ребенку будет поставлен максимально точно.

    Этапы ортодонтического лечения детей

    Диагностический
    Оценка особенностей клинического случая. Визуальная и КТ-диагностика. Снятие слепков, планирование схемы лечения
    Подготовительный
    Лечение зубов и десен (при необходимости), изготовление ортодонтического устройства
    Коррекционная терапия
    Установка ортодонтического аппарата, объяснение правил ношения, снятия и надевания (если устройство съемное). Периодическая замена аппарата при достижении промежуточных результатов (при необходимости)

    Сеть многопрофильных центров «Улыбнись» в Москве предлагает услуги детской ортодонтической стоматологии по доступным ценам. Мы предоставляем рассрочку оплаты на весь срок лечения. Наши специалисты имеют фундаментальное профильное образование и регулярно повышают свой квалификационный уровень в ведущих клиниках России и зарубежья. Мы ждем вас и ваших детей на консультацию и прием в филиалах, расположенных в районе станций метро «Алексеевская» и «Шелепиха», ежедневно без перерывов и выходных. Мы сделаем улыбку вашего ребенка самой обаятельной!


    Видео: Сеть стоматологий «Улыбнись»

    Ваш браузер не поддерживает HTML5 видео. Вот ссылка на видео взамен.



    Фото до и после лечения

    Комбинированный подход с использованием аппарата Твин-блок и миофункционального трейнера. Срок лечения: 1 год Комбинированный подход с использованием аппарата Твин-блок и миофункционального трейнера. Срок лечения: 1 год
    Детская ортодонтия
    Комбинированный подход с использованием аппарата Твин-блок и миофункционального трейнера. Срок лечения: 1 год
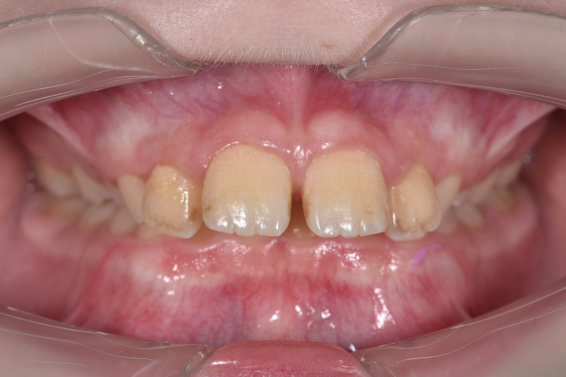
    Лечение с помощью ортодонтических пластинок Лечение с помощью ортодонтических пластинок
    Детская ортодонтия
    Лечение с помощью ортодонтических пластинок
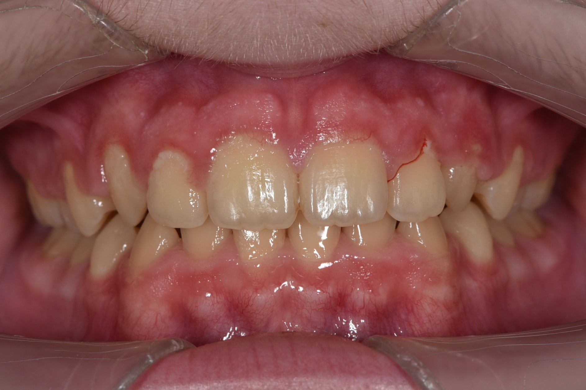
    Лечение на аппарате Лечение на аппарате
    Детская ортодонтия
    Лечение на аппарате
    Комбинированное лечение с помощью съемного расширяющего аппарата на верхней челюсти и миофункционального трейнера  Срок лечения : 1,5 года Комбинированное лечение с помощью съемного расширяющего аппарата на верхней челюсти и миофункционального трейнера  Срок лечения : 1,5 года
    Детская ортодонтия
    Комбинированное лечение с помощью съемного расширяющего аппарата на верхней челюсти и миофункционального трейнера Срок лечения : 1,5 года
    Лечение с помощью несъемного аппарата Хаас на верхней челюсти и съемного ортодонтического аппарата на нижней челюсти  Срок лечения: 6 мес Лечение с помощью несъемного аппарата Хаас на верхней челюсти и съемного ортодонтического аппарата на нижней челюсти  Срок лечения: 6 мес
    Детская ортодонтия
    Лечение с помощью несъемного аппарата Хаас на верхней челюсти и съемного ортодонтического аппарата на нижней челюсти Срок лечения: 6 мес
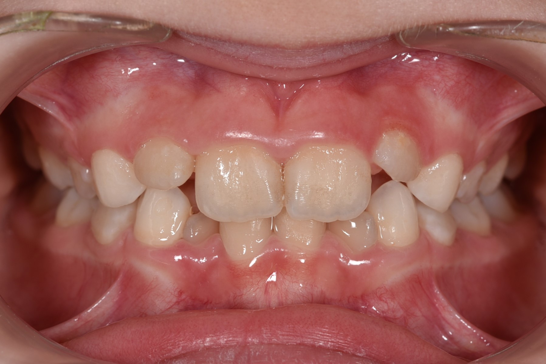
    Коррекция положения центрального резца у ребенка. Частичная брекет-система Biomim. Врач: Ушакова А.Г. Коррекция положения центрального резца у ребенка. Частичная брекет-система Biomim. Врач: Ушакова А.Г.
    Детская ортодонтия
    Коррекция положения центрального резца у ребенка. Частичная брекет-система Biomim. Врач: Ушакова А.Г.


    Эксперт статьи, которую Вы читаете:
    Ременская Софья Олеговна
    Ортодонт, ведущий специалист сети Улыбнись
    19 лет
    Стаж работы
    Алексеевская
    +7 (499) 174-92-92
    ул. 3-я Мытищинская д.3 к.2
    Запись онлайн

    Наши работы

    Лечение на элайнерах
    Ортодонтическое лечение
    Лечение на элайнерах
    Ортогнатическая хирургия
    Ортодонтическое лечение
    Ортогнатическая хирургия
    Ортогнатическая хирургия
    Ортодонтическое лечение
    Ортогнатическая хирургия
    Цены
    Отзывы

    Отзывы пациентов

    Ответы на часто задаваемые вопросы

    Можно ли ставить брекеты, если прорезались не все постоянные зубы и остались еще молочные?
    На молочные зубы брекет-систему ставить нельзя. Для исправления патологий в этот период используют ортодонтические пластинки, трейнеры, ретейнеры. При необходимости, если прорезавшиеся постоянные зубы выросли неправильно и не оставили место для прорезывания других, то ставят частичную брекет-систему (только на постоянные, положение которых нужно корректировать).
    Больно ли ребенку носить трейнеры?
    При ношении трейнеров может возникнуть чувство дискомфорта и давления. Нужно объяснить ребенку, что дискомфорт неизбежен, но он постепенно пройдет. Важно внушить ребенку, что результат терапии достижим только при регулярном ношении трейнеров столько времени, сколько порекомендует врач. Как правило, это 3-4 часа днем и всю ночь.
    С какого возраста можно носить элайнеры?
    Элайнеры, или ортодонтические каппы, можно носить, когда прорежутся первые постоянные моляры. Это примерно в 5-6 лет.
    Во сколько лет следует показать малыша ортодонту?
    В первый раз показать ребенка стоматологу нужно в 12 месяцев. Если врач заметит какие-либо отклонения от нормы, то направит к ортодонту. Затем посетить врача следует в 3 года, когда у малыша прорежутся уже все молочные зубы. Родители должны помнить, что, чем раньше обнаружить патологию, то тем проще ее будет вылечить.


    Другие услуги клиники

    Показать
    Консультация и Диагностика
    Трейнеры
    Пластинки
    Ортодонтические аппараты
    Флексики
    Каппы KidsLight
    Брекеты на четыре передних зуба у детей
    Установка брекетов подросткам
    Лечение диастемы у детей
    Скученность зубов у детей
    Частичные брекеты для детей
    Короткая уздечка языка
    Миофункциональная ортодонтия
    Трейнер Миобрейз. Эластичный термопластичный биоактиватор Мицериум. LM-активатор
    Миофункциональный аппарат FroggyMouth
    Аппарат Марко Росса (Хааса)
    Аппарат Твин Блок
    Пластинка с винтом Бертони
    Удерживатель пространства (кольцо-петля)
    Аппарат Дерихсвайлера
    Аппарат ALF

    Фотогалерея

    8 фото
    1 / 8
    • Детская ортодонтия
    • Детская ортодонтия
    • Детская ортодонтия
    • Детская ортодонтия
    • Детская ортодонтия
    • Детская ортодонтия
    • Детская ортодонтия
    • Детская ортодонтия
    Детская ортодонтия
    Детская ортодонтия
    Детская ортодонтия
    Детская ортодонтия
    Детская ортодонтия
    Детская ортодонтия
    Детская ортодонтия
    Детская ортодонтия

    Наши Врачи

    • Банузова Татьяна Александровна
      Банузова Татьяна Александровна
      Более 23 лет стажа
      Cтоматолог-ортодонт

      Запись онлайн
    • Ременская Софья Олеговна
      Ременская Софья Олеговна
      Более 19 лет стажа
      Cтоматолог-ортодонт

      Запись онлайн
    • Ступина Валерия Дмитриевна
      Ступина Валерия Дмитриевна
      Более 2 лет стажа
      Cтоматолог-ортодонт

      Запись онлайн
    • Ушакова Александра Геннадьевна
      Ушакова Александра Геннадьевна
      Более 6 лет стажа
      Cтоматолог-ортодонт

      Запись онлайн
    • Кагина (Климова) Анастасия Андреевна
      Кагина (Климова) Анастасия Андреевна
      Более 5 лет стажа
      Cтоматолог-ортодонт

      Запись онлайн
    • Пичугина Юлия Максимовна
      Пичугина Юлия Максимовна
      Более 4 лет стажа
      Cтоматолог-ортодонт

      Запись онлайн

    Заказать обратный звонок

    Заполните поля, и администратор свяжется с Вами в ближайшее время



    Оформите заявку на сайте, мы свяжемся с вами в ближайшее время и ответим на все интересующие вопросы.
    Запись онлайн

    Интерьеры клиники на Шелепихе

    8 фото
    1 / 8
    • Сеть Стоматологических клиник «Улыбнись» - Стоматология на Шелепихе
    • Сеть Стоматологических клиник «Улыбнись» - Стоматология на Шелепихе
    • Сеть Стоматологических клиник «Улыбнись» - Стоматология на Шелепихе
    • Сеть Стоматологических клиник «Улыбнись» - Стоматология на Шелепихе
    • Сеть Стоматологических клиник «Улыбнись» - Стоматология на Шелепихе
    • Сеть Стоматологических клиник «Улыбнись» - Стоматология на Шелепихе
    • Сеть Стоматологических клиник «Улыбнись» - Стоматология на Шелепихе
    • Сеть Стоматологических клиник «Улыбнись» - Стоматология на Шелепихе
    Детская ортодонтия
    Детская ортодонтия
    Детская ортодонтия
    Детская ортодонтия
    Детская ортодонтия
    Детская ортодонтия
    Детская ортодонтия
    Детская ортодонтия

    Интерьеры клиники на Алексеевской

    8 фото
    1 / 8
    • Сеть Стоматологических клиник «Улыбнись» - Стоматология на Алексеевской
    • Сеть Стоматологических клиник «Улыбнись» - Стоматология на Алексеевской
    • Сеть Стоматологических клиник «Улыбнись» - Стоматология на Алексеевской
    • Сеть Стоматологических клиник «Улыбнись» - Стоматология на Алексеевской
    • Сеть Стоматологических клиник «Улыбнись» - Стоматология на Алексеевской
    • Сеть Стоматологических клиник «Улыбнись» - Стоматология на Алексеевской
    • Сеть Стоматологических клиник «Улыбнись» - Стоматология на Алексеевской
    • Сеть Стоматологических клиник «Улыбнись» - Стоматология на Алексеевской
    Детская ортодонтия
    Детская ортодонтия
    Детская ортодонтия
    Детская ортодонтия
    Детская ортодонтия
    Детская ортодонтия
    Детская ортодонтия
    Детская ортодонтия

    Акции и Скидки

    Многодетным семьям скидка 9%
    Многодетным семьям скидка 9%
    Забота, которую вы заслуживаете: программа социальной поддержки в «Улыбнись»
    Забота, которую вы заслуживаете: программа социальной поддержки в «Улыбнись»

    Лицензии и сертификаты

    Лицензия 1
    Лицензия 2
    Лицензия 3
    Свидетельство о гос. регистрации

    Независимые Рейтинги

    Рейтинг Яндекса
    5/5
    Рейтинг 2gis
    5/5
    Рейтинг Zoon
    4,7/5
    Рейтинг ПроДокторов
    4,7/5

    Читайте также

    Особенности открытого прикуса
    Ортодонтия
    Особенности открытого прикуса
    Окклюзия – что это такое и ее патологии
    Ортодонтия
    Окклюзия – что это такое и ее патологии
    Что такое дисфункция ВНЧС и как ее лечат
    Ортодонтия
    Что такое дисфункция ВНЧС и как ее лечат
    Алиса

    Спастбо больше Софье Олеговне за прекрасную улыбку! Проходила с системой daimont Q 1,5 года, как и обещали! Зубы идеально ровные, прошло уже 2 года и я счастливый обладатель прекрасной улыбки:) всем рекомендую! Вообще клиника Улыбнись моя любимая! Вмете с ней уже 5 лет.

    Макс

    Всем привет! Врач Пивоваров – супер! У меня была проблема – нарушение прикуса (довольно серьезное). Он справился на отлично!

    Все отзывы

    Возможен как наличный, так и безналичный расчет

    Запись онлайн
    от 1 500 р.
    Консультация врача-ортодонта (детский, взрослый, подростковый)
    от 1 500 р.
    Запись онлайн
    При оплате консультации у одного специалиста пациенты получают возможность консультации у других специалистов центра бесплатно в течение 6 месяцев.
    Запись онлайн
    от 5 000 р.
    Консультация с брекетами, установленными в иной клинике
    от 5 000 р.
    Запись онлайн
    Для консультации пациент должен предоставить модели, фотографии и рентгеновские снимки до начала ортодонтического лечения. А также выписку о течении лечения.
    Запись онлайн
    от 6 000 р.
    Диагностика упрощенная (для лечения на пластинках, несъемных аппаратах, активаторах и трейнерах)
    от 6 000 р.
    Запись онлайн
    Включает в себя: компьютерную томограмму, сканирование зубов верхней и нижней челюсти, фотографии зубов и лица, расшифровка рентгеновского снимка, расчет моделей, постановка диагноза и планирование лечения и составление сметы на лечение. Вариантов лечения может быть несколько.
    Запись онлайн
    от 12 000 р.
    Полная диагностика ДО ортодонтического лечения (для лечения на брекетах и элайнерах)
    от 12 000 р.
    Запись онлайн
    Включает в себя: КТ (компьютерная томограмма), ТРГ (телерентгенограмма), слепки с обеих челюстей, изготовление виртуальных моделей, фотографии зубов и лица, расшифровка рентгеновских снимков, расчет моделей, постановка диагноза, планирование лечения и составление сметы на несколько вариантов лечения.

    Банузова Т.А. и Ременская С.О работают по индивидуальному прайс-листу(стоимость лечения от 350 т.р).

    Стоимость сложных случаев с подготовкой к ортогнатической хирургии: стоимость лечения+10%
    Запись онлайн
    от 325 000 р.
    Лечение на металлических брекетах Biomim (2 челюсти)
    от 325 000 р.
    Запись онлайн
    Услуга включает брекеты на две челюсти, установка брекетов, ежемесячные посещения по активации аппаратуры, снятие брекетов, ретенционные (удерживающие) аппараты. Доступна рассрочка от клиники (без банков) на проведение ортодонтического лечения на весь период. Первоначальный взнос от 60 00 руб.
    Запись онлайн
    от 360 000 р.
    Лечение на керамических брекетах Advanced (2 челюсти)
    от 360 000 р.
    Запись онлайн
    Услуга включает брекеты на две челюсти, установка брекетов, ежемесячные посещения по активации аппаратуры, снятие брекетов, ретенционные (удерживающие) аппараты. Доступна рассрочка от клиники (без банков) на проведение ортодонтического лечения на весь период. Первоначальный взнос от 60 00 руб.
    Запись онлайн
    от 340 000 р.
    Лечение на самолигирующихся металических брекетах DamonQ, H4, Carriere (2 челюсти)
    от 340 000 р.
    Запись онлайн
    Услуга включает брекеты на две челюсти, установка брекетов, ежемесячные посещения по активации аппаратуры, снятие брекетов, ретенционные (удерживающие) аппараты. Доступна рассрочка от клиники (без банков) на проведение ортодонтического лечения на весь период. Первоначальный взнос от 60 00 руб.
    Запись онлайн
    от 360 000 р.
    Лечение на самолигирующихся керамических брекетах Damon Clear, Carriere Clear (2 челюсти)
    от 360 000 р.
    Запись онлайн
    Услуга включает брекеты на две челюсти, установка брекетов, ежемесячные посещения по активации аппаратуры, снятие брекетов, ретенционные (удерживающие) аппараты. Доступна рассрочка от клиники (без банков) на проведение ортодонтического лечения на весь период. Первоначальный взнос от 60 00 руб.
    Запись онлайн
    от 45 000 р.
    Лечение с использованием аппарата Хаас, Марко Роса
    от 45 000 р.
    Запись онлайн
    В стоимость входит: изготовление зубной модели, изготовление аппарата, припасовка и обучение.
    Запись онлайн
    от 48 000 р.
    Лечение с использованием аппарата Твин Блок
    от 48 000 р.
    Запись онлайн
    В стоимость входит: сканирование и изготовление модели челюсти, изготовление аппарата, сдача и обучение.
    Запись онлайн
    от 55 000 р.
    Лечение с использованием аппарата ALF
    от 55 000 р.
    Запись онлайн
    В стоимость входит: сканирование и изготовление зубной 3 D модели, изготовление и фиксация аппарата.
    Запись онлайн
    от 42 000 р.
    Лечение с использованием трейнеров и биоктиваторов
    от 42 000 р.
    Запись онлайн
    Стоимость включает: аппарат, подбор его индивидуального размера и вида, сдача и обучение ношению.
    Запись онлайн
    от 35 000 р.
    Лечение с использованием ортодонтических пластинок
    от 35 000 р.
    Запись онлайн
    В стоимость входит: создание зубной модели, изготовление и припасовка пластинки. Обучение по ее ношению.
    Запись онлайн
    от 160 000 р.
    Лечение на элайнерах марки FlexiLigner (1 челюсть)
    от 160 000 р.
    Запись онлайн
    Услуга включает виртуальный сетап, капы на весь период лечения, удерживающие аппараты после окончания лечения. Доступна рассрочка от клиники( не банка) на проведение ортодонтического лечения на весь период лечения.
    Запись онлайн
    от 95 000 р.
    Лечение детей на элайнерах KidsLight (1 челюсть)
    от 95 000 р.
    Запись онлайн
    Услуга включает виртуальный сетап, капы на весь период лечения, удерживающие аппараты после окончания лечения. Доступна рассрочка от клиники( не банка) на проведение ортодонтического лечения на весь период лечения.
    Запись онлайн
    от 380 000 р.
    Лечение на элайнерах марки FlexiLigner (2 челюсти)
    от 380 000 р.
    Запись онлайн
    Запись онлайн
    от 700 р.
    Контрольное наблюдение детей на лечении на съемных и несъемных аппаратах
    от 700 р.
    Запись онлайн
    Контрольное наблюдение понадобится для контроля течения лечения на активаторах, пластинках, несъемных аппаратах, трейнерах и активаторах.
    Запись онлайн
    500 р.
    Контрольное наблюдение пациентов закончивших ортодонтическое лечение более чем 2 года
    500 р.
    Запись онлайн

    Записаться на прием

    Заполните поля и администратор свяжется с Вами в ближайшее время


    Улыбнись - сеть стоматологических центров

    Мы в соцсетях
    • Вконтакте
    • Telegram
    • Rutube
    • YouTube.

    Партнеры Улыбнись
    Улыбнись - сеть стоматологических центров
    Улыбнись - сеть стоматологических центров
    Улыбнись - сеть стоматологических центров
    Улыбнись - сеть стоматологических центров
    Улыбнись - сеть стоматологических центров
    Наши услуги
    • Профилактика зубов
    • Лечение зубов
    • Лечение зубов детям
    • Ортодонтия
    • Протезирование зубов
    • Имплантация зубов
    • Удаление зубов
    • Пародонтология
    • Детская ортодонтия
    • Отбеливание зубов
    • Рентгенологическое исследование
    • Хирургическая стоматология
    • Подростковая стоматология
    Компания
    • Услуги
    • Цены
    • Акции
    • Клиники
    • Врачи
    • Отзывы
    • Наши работы
    • Контакты
    Контакты
    +7 (499) 174-92-92
    Записаться на приём
    Метро Алексеевская

    Пн. – Вс.: с 9:00 до 21:00

    ул. 3-я Мытищинская д.3 к.2, ЖК "Алексеево"

    alex@co-ulybnis.ru

    Метро Шелепиха

    Пн. – Вс.: с 9:00 до 21:00

    Шелепихинская наб., д.34, к.1, зд.5, ЖК «Сердце столицы»

    shel@co-ulybnis.ru

    © 2026 Стоматология «Улыбнись»
    Карта сайта
    Лицензии Политика обработки персональных данных Согласие на обработку персональных данных
    Имеются противопоказания. Необходима консультация специалиста.
    Материалы сайта являются собственностью ООО СЦ «Улыбнись» (ИНН 7716604976). При использовании материалов ссылка на co-ulybnis.ru обязательна. Вся информация, включая цены, предоставлена для ознакомления и не является публичной офертой. В оформлении сайта использовались изображения, разработанные Freepik.
    Подписывайтесь на наш Telegram-канал! @sc_ulybnis