
Не всегда для исправления положения зубов и дефектов окклюзии нужно носить брекеты. Каппы FlexiLigner – эффективная альтернатива несъемным ортодонтическим системам. Это прозрачные насадки на зубы, которые при постоянном ношении постепенно перемещают зубы в заданном направлении. Такой метод коррекции появился сравнительно недавно, но уже успел завоевать симпатии ортодонтов и их пациентов во всем мире. Главное достоинство элайнеров – абсолютная прозрачность и возможность снимать на время приема пищи и гигиенического ухода. Сеть стоматологических клиник «Улыбнись» предлагает услуги по исправлению патологий прикуса и роста зубов с установкой капп FlexiLigner по приемлемым ценам.
Показания и противопоказания лечения каппами
Исправление прикуса каппами FlexiLigner необходимо:
- при открытом и перекрестном прикусе;
- дистопии (неправильном положении зубов в дентальном ряду);
- скученном росте и ротации зубных элементов (повороте по своей оси);
- наличии больших межзубных промежутков, в т. ч. диастем;
- при недостатке места для зубопротезирования;
- при интрузии (травматичном погружении зуба в альвеолярный отросток);
- рецидиве после ортодонтического лечения брекетами.

Запреты к ортодонтическому лечению с помощью элайнеров:
- челюстные аномалии;
- ретинированные зубы;
- чрезмерная скученность зубных элементов;
- неврологические заболевания;
- кариес, пародонтоз, наличие зубных камней (относительное противопоказание, после устранения можно приступать к курсу коррекции).
- Возможность применения у детей с 5 лет (линейка KidsLigner («Флексики) и у взрослых после формирования постоянного прикуса
- Индивидуальное изготовление для каждого пациента по его параметрам
- Применение 3D-моделирования при планировании лечения и 3D-печати при изготовлении кап
- Клиническая поддержка практикующих ортодонтов разработчиками
- Материал – высокопрочный прозрачный полимер толщиной 0,75 мм
- Лазерная маркировка для защиты от фальсификата
К сведению: каппы Флексилайнер производит одноименная международная компания. Официальное изготовление элайнеров налажено и в России. Это значительно сокращает сроки доставки готовых изделий и снижает их себестоимость.
Плюсы и минусы применения ортодонтических капп
Преимущества:
- Высокая доказанная практикой эффективность даже в сложных клинических случаях
- Незаметны, можно самостоятельно снимать
- Отсутствует боль
- Не оказывают вредного воздействия на эмаль
- Не провоцируют развитие кариеса
- Просто ухаживать за полостью рта
- Нет риска травмирования слизистых губ, языка и щек
- Не нарушают дикцию
- Не нужно придерживаться какой-либо диеты
У лечения элайнерами FlexiLigner существует один недостаток – высокая цена. В качестве альтернативы врачи-ортодонты наших центров могут порекомендовать применение ортодонтических капп Invisalign или невидимых лингвальных брекетов Incognito. Эти варианты терапии немного дешевле. При этом важно знать, что в нашей клинике ортодонтическое лечение можно оплачивать в рассрочку в течение всего периода терапии.
Важно: выявить, насколько элайнер-коррекция подходит конкретному пациенту, ортодонт может только после проведения диагностических процедур. Для планирования лечения в нашей стоматологии применяется протокол «Check-line 3D».
Правила ношения капп и уход за ними
Наши специалисты рекомендуют:
- снимать элайнеры при приеме пищи и напитков;
- чистить зубы и снятые каппы щеткой и зубной пастой не менее двух раз в день;
- тщательно ополаскивать полость рта после еды перед тем как надеть элайнеры.
Что входит в стоимость коррекции каппами
Ценообразование стоимости коррекционного курса лечения с использованием FlexiLigner в наших центрах зависит от нескольких факторов:
- возраста пациента (чем старше человек, тем дольше продолжается лечение);
- сложности исправляемого дефекта. От этого зависит количество комплектов флексов;
- необходимости предварительного стоматологического лечения;
- диагностических процедур.
В цену входит стоимость капп FlexiLigner и их установка, ретейнеры, посещения лечащего врача. Отдельно нужно будет заплатить за выполнение диагностики, предварительное лечение и проф. чистку (при необходимости).
Преимущества обращения в «Улыбнись»
- Высокая квалификация специалистов
- Современное немецкое оборудование
- Лечение на уровне мировых стандартов
- Выдача справок для оформления налогового вычета
- Бесплатные консультации специалистов клиники после посещения врача-ортодонта
Специалисты нашей клиники готовы принять вас в Москве в одном из двух филиалов, расположенных недалеко от станций метро:
- филиал в районе ст. метро Алексеевская (район ВДНХ и проспекта Мира) по адресу: ул. 3-я Мытищинская д.3, к.2;
- отделение недалеко от станции метро Шелепиха, адрес: Шелепихинская наб., д.34, к.1.
Красивая улыбка – это возможно! Отсутствие боли и дискомфорта, комплексный подход к решению любой ортодонтической проблемы обеспечат врачи стоматологии «Улыбнись». Ждем вас в любом из филиалов ежедневно!
Видео: Сеть стоматологий «Улыбнись»
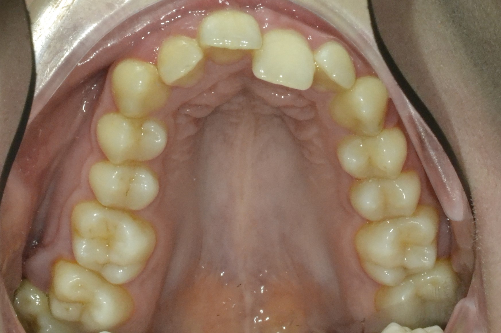
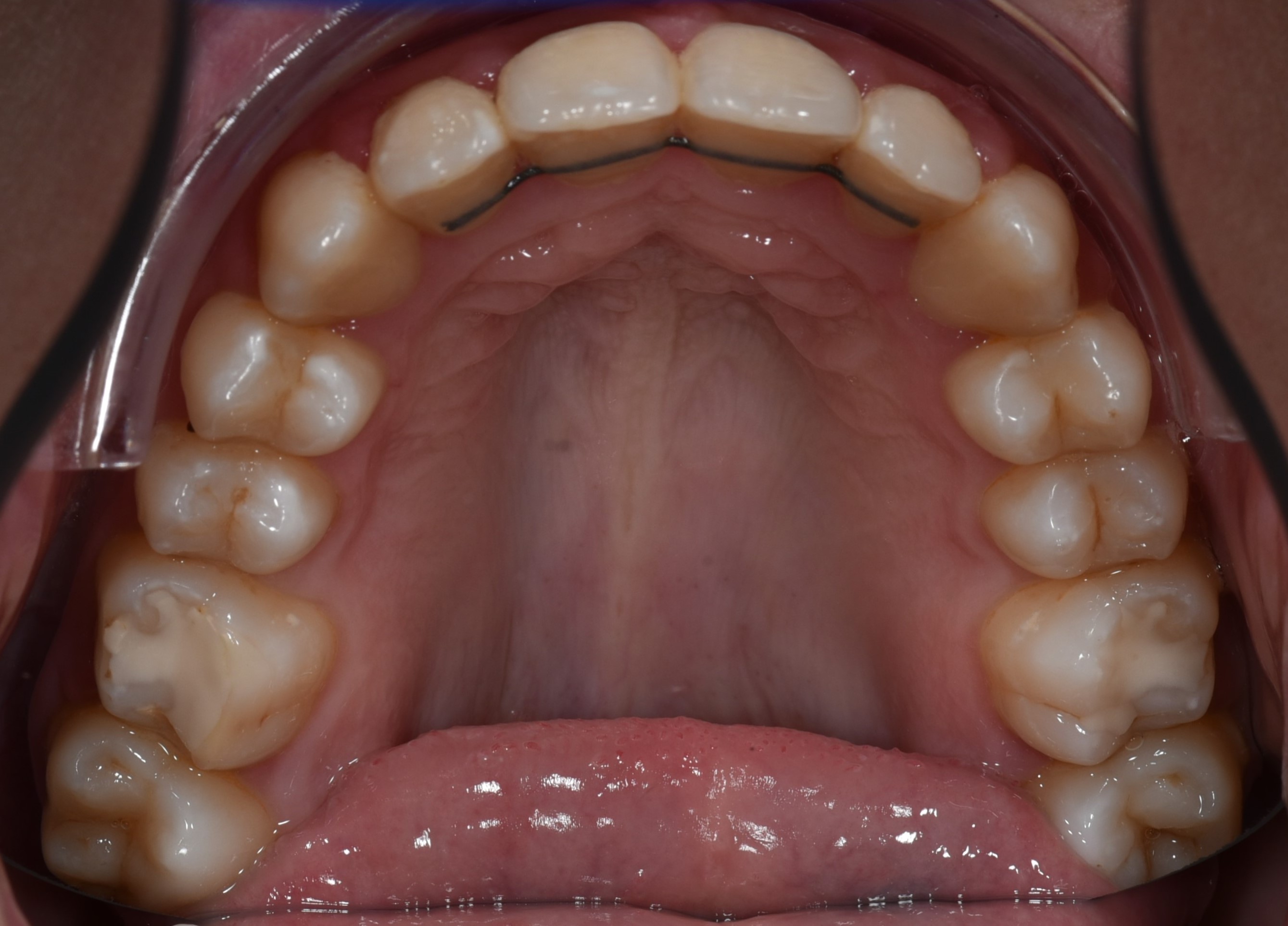
Фото до и после лечения









Стоматология работает без выходных! Есть оплата в рассрочку!


Стаж работы
Наши работы



Фотогалерея








Наши Врачи
Заказать обратный звонок
Оформите заявку на сайте, мы свяжемся с вами в ближайшее
время и ответим на все интересующие вопросы.
|
Запись онлайн
|
Интерьеры клиники на Шелепихе








Интерьеры клиники на Алексеевской








Читайте также
Отзывы пациентов
Здравствуйте! Очень довольна тем, как закончился курс коррекции на брекетах. Мой лечащий врач Галина Сергеевна проделала огромную и кропотливую работу, за что ей большое спасибо
Уже полгода как я лечусь у вас.К брекетам привыкла быстро,практически ничего не болит. Муж теперь готов тоже на ортодонтическое лечение,был у вас на консультации,вы убедили)))так что теперь у нас семейство брекетоносцев!спасибо за позитивное лечение!
Возможен как наличный, так и безналичный расчет
Банузова Т.А. и Ременская С.О работают по индивидуальному прайс-листу(стоимость лечения от 350 т.р).
Стоимость сложных случаев с подготовкой к ортогнатической хирургии: стоимость лечения+10%