
«Все мы родом из детства», эти слова Антуана де Сент-Экзюпери не только о высоких материях, но и о формировании прикуса человека. Консультация детского ортодонта в раннем возрасте позволит выявить проблемы с окклюзией на ранней стадии, оценить факторы риска развития патологии зубочелюстной системы. Чем раньше будет начато лечение, тем быстрее удастся справиться с недугом. Сеть клиник «Улыбнись» предлагает услуги детской ортодонтии. Наши специалисты выполнят консультацию и диагностику, порекомендуют меры профилактики и, при необходимости – проведут эффективное лечение.
Для чего и когда нужно прийти на консультацию
На первый профилактический осмотр к ортодонту ребенка следует привести, когда у него сформируется молочный прикус, т. е. в возрасте от трех до пяти лет. Сделать это необходимо даже без визуально заметных проблем с окклюзией. При обнаружении признаков патологии нужно прийти на прием к детскому ортодонту сразу при их выявлении.


Что дает консультация детского врача-ортодонта:
- выявление патологий развития зубов и челюстей на ранней стадии;
- своевременное начало коррекционной терапии;
- контроль роста зубов, развития челюстного аппарата;
- возможность сформировать правильный прикус при имеющихся негативных предпосылках;
- получение профилактических рекомендаций.
Важно: некоторые дефекты прикуса и иные отклонения в развитии зубочелюстной системы может выявить только специалист. Поэтому консультация детского стоматолога-ортодонта обязательна даже если внешних признаков аномалий нет.
Что входит в перечень диагностических исследований
- Рентгенография – снимок позволяет оценить состояние костной ткани и корней молочных зубов, наличие зачатков постоянных зубов
- Фотографирование лица маленького пациента и его зубов для отслеживания изменений в ходе лечения
- Изготовление слепков для создания модели зубных рядов (необходимо для разработки схемы коррекционной терапии)

Преимущества обращения в «Улыбнись»
- Прием ведут ортодонты, имеющие опыт работы с детьми
- Высокая эффективность лечения
- Современное диагностическое оборудование
Врачи специализируются на детской ортодонтии, знают специфику развития челюстного аппарата у детей, владеют психологическими навыками работы с малышами
Богатый опыт и квалификация наших врачей позволяют лечить патологии окклюзии любой степени тяжести
Все филиалы нашей стоматологии оснащены рентген-системами с функцией 3D ORTHOPHOS XG 3 D\Ceph, внтутриротовыми сканерами, компьютерным оборудованием с инновационным программным обеспечением.
Сеть стоматологических центров «Улыбнись» в Москве предлагает консультации детского ортодонта по доступной цене. Записаться на консультативный прием можно по телефону, либо воспользовавшись опциями «Заказать звонок» или «Запись онлайн». Мы ждем вас ежедневно в филиалах, расположенных недалеко от станций метро «Алексеевская» и «Шелепиха». Нам можно доверить здоровье вашего ребенка!
Видео: Сеть стоматологий «Улыбнись»
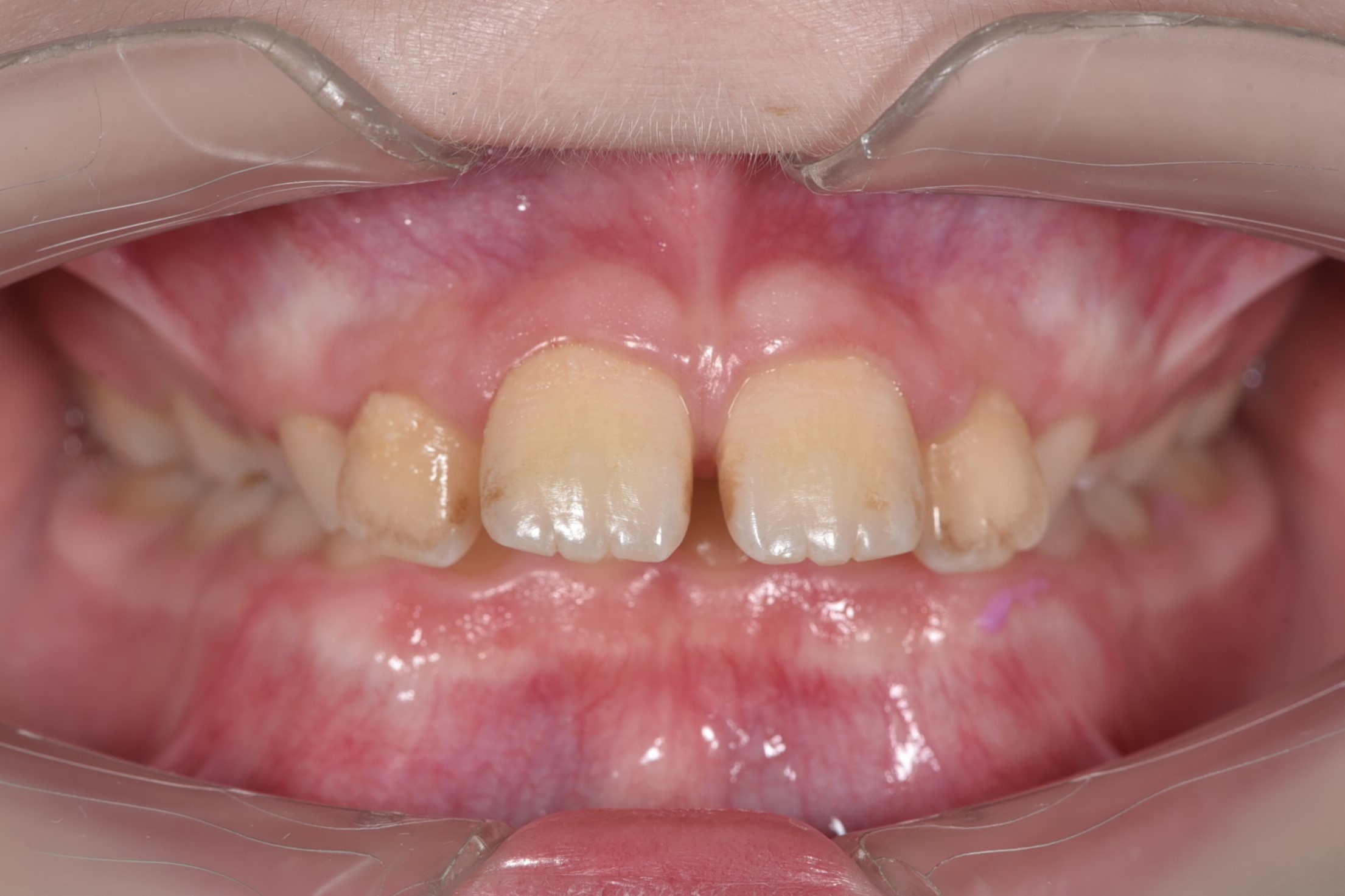
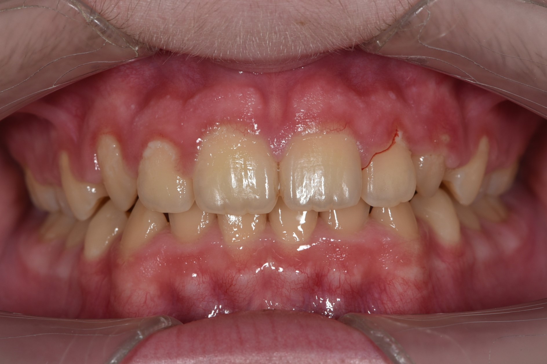
Фото до и после лечения













Стоматология работает без выходных! Есть оплата в рассрочку!


Стаж работы
Наши работы



Ответы на часто задаваемые вопросы
Фотогалерея








Наши Врачи
Заказать обратный звонок
Оформите заявку на сайте, мы свяжемся с вами в ближайшее
время и ответим на все интересующие вопросы.
|
Запись онлайн
|
Интерьеры клиники на Шелепихе








Интерьеры клиники на Алексеевской








Читайте также
Отзывы пациентов
Здравствуйте! Очень довольна тем, как закончился курс коррекции на брекетах. Мой лечащий врач Галина Сергеевна проделала огромную и кропотливую работу, за что ей большое спасибо
Добрый день! Хочу выразить свою глубокую благодарность врачу-ортодонту Ксении Растиславовне. Это очень крепкий профессионал и отзывчивый человек. Советую лечиться у нее!
Возможен как наличный, так и безналичный расчет
Банузова Т.А. и Ременская С.О работают по индивидуальному прайс-листу(стоимость лечения от 350 т.р).
Стоимость сложных случаев с подготовкой к ортогнатической хирургии: стоимость лечения+10%