
Плановая или срочная консультация ортодонта в стоматологии – это первое, что нужно предпринять при наличии дефектов прикуса или при подозрении на патологию зубочелюстного аппарата. Лечить или не лечить, какие существуют способы решения проблемы – ответы на эти и десятки других вопросов может дать только врач. Специалисты сети стоматологий «Улыбнись» предлагают консультационные услуги взрослым и детям по доступной цене. Все наши филиалы оснащены новейшим диагностическим оборудованием, поэтому врачи ставят предельно точные диагнозы и разрабатывают максимально результативные планы коррекционного лечения.
5 причин для визита к ортодонту
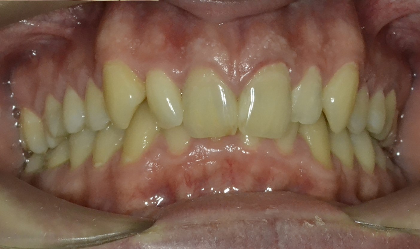
- Зубы расположены в стороне от зубного ряда
- Есть зубные единицы, повернутые вокруг своей оси
- Наблюдается скученное расположение зубов в каком-либо отделе зубной дуги
- Отсутствие зуба/зубов после окончания формирования молочного или постоянного прикуса
- Наличие сверхкомплектных зубов
- Есть один или несколько увеличенных межзубных промежутков
- При открывании-закрывании рта слышен щелчок
- Верхняя или нижняя челюсть выдвинута вперед или задвинута назад
- Некоторые зубы подвержены чрезмерной истираемости

Важно: наличие одного или нескольких из перечисленных дефектов – это веский повод не затягивать посещение консультации специалиста. С течением времени ситуация усугубляется и на решение проблемы потребуется больше времени.
Методы ортодонтической диагностики
После визуального осмотра врач-ортодонт, в зависимости от особенностей клинического случая пациента, может назначить одно или несколько из следующих диагностических исследований:
- компьютерная томография (КТ) – позволяет оценить состояние зубов и окружающих их тканей, височно-нижнечелюстного сустава;
- телерентгенография (ТРГ) – дает возможность определить размеры челюстей и их взаимное расположение, состояние костной ткани челюсти, детализировать нарушения прикуса.
- снятие челюстных слепков или сканирование челюстей с последующим изготовлением их модели – необходимо для отображения особенностей прикуса, специфики расположения зубов;
- фотопротокол (фотографирование зубов и лица в профиль и анфас) – для фиксации начального состояния, а также для прогнозирования результатов коррекции.
Этапы консультационного приема
Важно: если клинический случай выходит за рамки ортодонтической сферы, то доктор назначит консультацию врача узкой специализации. К примеру, при нарушении осанки и связанной с этим патологией прикуса потребуется консультация и лечение у травматолога-ортопеда.
Почему сеть клиник «Улыбнись» пользуется популярностью у пациентов
- У нас работают опытные врачи-ортодонты
Мы практикуем командный подход при решении ортодонтических проблем пациента, ориентированный на достижение максимально возможного результата
- Мы оказываем стоматологические услуги уровня международных стандартов
Качество нашей работы подтверждено многочисленными отзывами благодарных пациентов
- Мы стремимся к совершенству
Наши врачи неустанно повышают свой профессиональный уровень в ведущих клиниках России и Европы
- Мы возвращаем пациентам уверенность в себе
Устраняя патологии зубочелюстной системы, мы лишаем вас психологических комплексов
- У нас стабильные цены
Расчет стоимости ортодонтических услуг мы выполняем в соответствии с расценками утвержденного прайса
Записаться в наши филиалы в Москве в районе станций метро «Шелепиха» или «Алексеевская» вы можете по телефону +7 (499) 174-92-92. Итоговая стоимость консультации ортодонта зависит от того, будет ли при этом проводиться комплекс полной или упрощенной диагностики. Бонус: при оплате консультационного приема у одного специалиста, в течение полугода у других врачей вы можете консультироваться бесплатно. Наши цены всегда доступны!
Видео: Сеть стоматологий «Улыбнись»
Фото до и после лечения











Стоматология работает без выходных! Есть оплата в рассрочку!
Наши работы



Ответы на часто задаваемые вопросы
Фотогалерея








Наши Врачи
Заказать обратный звонок
Оформите заявку на сайте, мы свяжемся с вами в ближайшее
время и ответим на все интересующие вопросы.
|
Запись онлайн
|
Интерьеры клиники на Шелепихе








Интерьеры клиники на Алексеевской








Читайте также
Отзывы пациентов
Добрый день! Хочу выразить свою глубокую благодарность врачу-ортодонту Ксении Растиславовне. Это очень крепкий профессионал и отзывчивый человек. Советую лечиться у нее!
Хочу огромное сказать спасибо Татьяне Александровне за прекрасную работу, терпение, и очень интересное общение! Мне сняли брекеты, улыбка моей мечты теперь моя!!!!
Возможен как наличный, так и безналичный расчет
Банузова Т.А. и Ременская С.О работают по индивидуальному прайс-листу(стоимость лечения от 350 т.р).
Стоимость сложных случаев с подготовкой к ортогнатической хирургии: стоимость лечения+10%