
Установка ретейнеров на зубы – завершающий этап брекет-терапии. Без него перемещение зубов после курса коррекции прикуса и других патологий зубочелюстной системы может стать регрессивным, т. е. начнется подвижка в обратном направлении. Врачи сети стоматологий «Улыбнись» предлагают услугу сопровождения ретенционного периода после ортодонтической терапии. При прохождении коррекционного лечения в нашей сети клиник цена ретенционного аппарата входит в итоговую стоимость исправления прикуса.
Что такое ретейнер и его назначение
Процесс коррекции зубочелюстных патологий занимает длительное время. За этот период зубы планомерно перемещаются на новое место положения. Но на этом лечение не заканчивается. Далее необходимо закрепить результат – зафиксировать зубы в новой для них позиции. Это выполняется с помощью специального устройства – ретейнера.

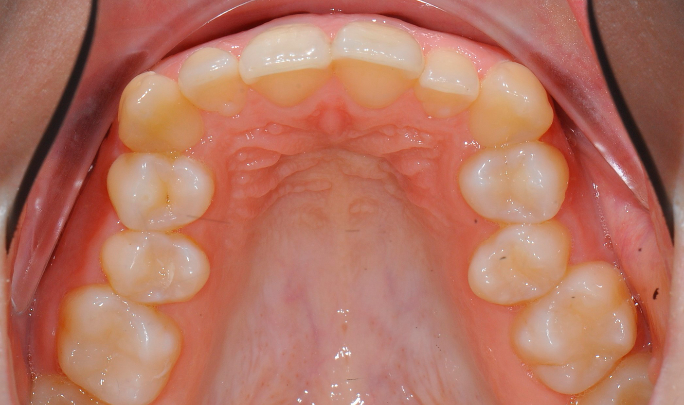
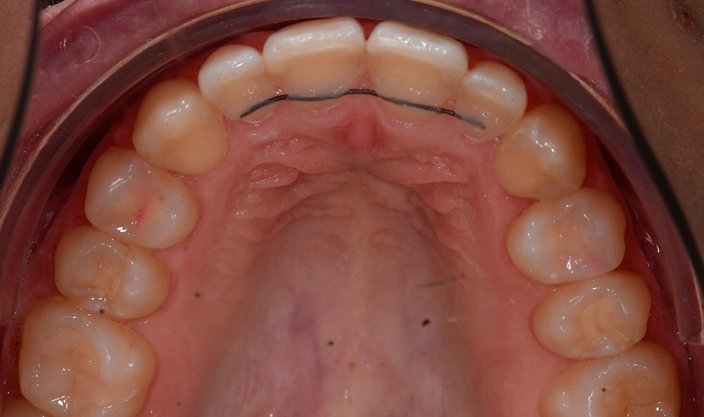
Ретейнер – это ортодонтический аппарат, предназначенный для предотвращения смещения зубов в обратном направлении после проведенного коррекционного лечения. Принцип действия заключается в объединении нескольких рядом стоящих зубов в единый блок, т. е. выполняется их шинирование. Пока зубы принудительно находятся в определенном положении, костная ткань восстанавливается. По завершению процесса ее восстановления необходимость в ретейнерах отпадает.
Ретенционный период является неотъемлемой частью ортодонтического лечения. Его отсутствие неминуемо приведет к утрате достигнутого в процессе терапии результата. Зубы начнут хаотично перемещаться в обратном направлении. Таким образом, клиническая ситуация может значительно ухудшится даже в сравнении с исходной.
Виды ретейнеров
Ретейнеры подразделяют на три вида:
- съемные, которые пациент может самостоятельно снимать и надевать. Время ношения составляет от 8 часов в сутки (продолжительность устанавливает врач). К съемным аппаратам относится ортодонтическая скоба (металлическая скоба на пластиковом базисе), а также каппа (прозрачный пластиковый «чехол» на зубной ряд);
- несъемные – устанавливает ортодонт для круглосуточного непрерывного ношения. Аппарат фиксирует 6-8 передних зубов. Представляет собой металлическую дугу, закрепляемую с лингвальной (внутренней) стороны зубного ряда;
- комбинированные – одновременное применение ретейнеров съемного и несъемного типа, т. е. на один зубной ряд устанавливают постоянный ретенционный аппарат, на другой – съемный.
Этапы ретенционного периода
Длительность ношения ретейнеров
Продолжительность ношения ретейнеров зависит от нескольких факторов:
- сложности клинического случая;
- длительности брекет-терапии;
- возраста пациента;
- состояния костной ткани после корректирующего курса;
- наличия хронических заболеваний, в том числе – эндокринных.
Средний срок ретенционного периода:
- в 1,5 раза дольше коррекционного курса – при несложных дефектах в возрасте до 18 лет;
- в 2 раза больше – при средних и сложных патологиях у подростков, при легких у пациентов до 40 лет;
- от 5 до 7 лет – при тяжелых дефектах у людей старше 25 лет;
- около 10 лет (или пожиненно) – при сложных патологиях у возрастных пациентов.
Как ухаживать за ретейнерами
Уход за ретейнерами не сложен:
- несъемные следует тщательно очищать дважды в день зубной щеткой и пастой, ополаскивать полость рта после еды и сладких напитков, использовать зубную нить и ершики для чистки;
- съемные нужно снимать перед едой и гигиенической чисткой зубов, ополаскивать в специальном растворе, хранить в предназначенном для этого футляре.
Важно: если ретейнер поврежден, то им пользоваться нельзя. Следует как можно быстрее обратиться к своему лечащему врачу-ортодонту для замены аппарата.
5 причин, чтобы выбрать сеть клиник «Улыбнись»
- Мы стремимся к достижению поставленной цели
Мы учитываем все нюансы каждого клинического случая и разрабатываем план лечения, ориентированный на конкретного пациента. В своей ортодонтической практике мы применяем передовые технологии и эффективные коррекционные и ретенционные аппараты
- Мы гордимся статусом передового стоматологического центра
Все филиалы нашей сети клиник оснащены высокоточным оборудованием для диагностики и лечения. Мы используем только сертифицированные и разрешенные к применению в РФ технологии, ортодонтические аппараты и расходные материалы
- Мы оказываем медицинские услуги, соответствующие международными стандартами
Качество нашей работы подтверждено позитивными отзывами. Мы гарантируем решение стоматологических проблем пациента
- У нас стабильные цены
Расчет стоимости ортодонтической терапии осуществляется в соответствии с фиксированными ценами прайса. Оплату лечения можно провести в рассрочку без процентов на протяжении 20 месяцев
- У нас удобный график работы
Мы работаем каждый день без перерыва на обед с 9 до 21 часа, в воскресенье – с 10 до 16 часов
Съемные и несъемные ретейнеры на зубы можно установить в одном из наших филиалов в Москве. Они расположены в пешей доступности от станций метро «Шелепиха» и «Алексеевская». Записывайтесь на консультацию к врачу-ортодонту, он поможет вам закрепить результат, достигнутый в итоге долгой и кропотливой брекет-терапии. Мы позаботимся о красоте вашей улыбки!
Видео: Сеть стоматологий «Улыбнись»
Фото до и после лечения











Стоматология работает без выходных! Есть оплата в рассрочку!
Наши работы



Ответы на часто задаваемые вопросы
Фотогалерея








Наши Врачи
Заказать обратный звонок
Оформите заявку на сайте, мы свяжемся с вами в ближайшее
время и ответим на все интересующие вопросы.
|
Запись онлайн
|
Интерьеры клиники на Шелепихе








Интерьеры клиники на Алексеевской








Читайте также
Отзывы пациентов
Вот уже год как я в брекетах! Зубы практически выровнялись, я даже не ожидала, что это будет абсолютно безболезненно и так увлекательно. Многие мои знакомые теперь тоже в брекетах. Спасибо за мое лечение!
Спасибо доктору Дудаевой за грамотную и эффективную работу. Она лечила (исправляла прикус) моей дочери. Недавно брекеты сняли, дочка и, конечно, мы с женой очень довольны результатом.
Возможен как наличный, так и безналичный расчет
Банузова Т.А. и Ременская С.О работают по индивидуальному прайс-листу(стоимость лечения от 350 т.р).
Стоимость сложных случаев с подготовкой к ортогнатической хирургии: стоимость лечения+10%