
Патология прикуса – это не только эстетический дефект, но и негативные последствия для здоровья. Сеть стоматологий «Улыбнись» в Москве предлагает услугу «Исправление мезиального прикуса» по доступной цене. Опыт наших специалистов, а также применение эффективных технологий позволяет нам гарантировать успешность коррекции вне зависимости от сложности клинического случая.
Особенности мезиального прикуса
Определение «мезиальный» в переводе с греческого «mesos» созначает «средний». Мезиальный прикус характеризуется выдвижением нижней челюсти вперед. Таким образом, . Эту патологию еще называют прогенией, нижней прогнатией или прогеническим прикусом. Прогения бывает истинной, когда чрезмерно развита нижняя челюсть (нижняя макрогнатия), и ложной – при недоразвитии верхней (верхняя микрогнатия).


Как проявляется мезиальный прикус:
- нижняя челюсть выдвинута вперед (в сравнении с верхней);
- нарушение эстетики лица – подбородок кажется несоразмерно массивным;
- передние зубы не соединяются при смыкании челюстей, боковые имеют неправильный контакт.
Важно: поставить точный диагноз может только врач-ортодонт. При обнаружении симптомов мезиального прикуса следует записаться на прием к нашему специалисту. Во всех филиалах нашей стоматологии работают специалисты высокой квалификации. Вы можете быть уверены в точности поставленного диагноза и эффективности назначенного лечения.
Причины формирования мезиального прикуса
- Генетическая предрасположенность
- Врожденная деформация лицевого скелета
- Патологии внутриутробного развития, вызванные токсикозом будущей матери, нарушением обмена веществ, инфекционными заболеваниями во время беременности
- Наличие сверхкомплектных зубов на нижней челюсти
- Анатомическое недоразвитие верхней челюсти
- Рахит
- Эндокринные патологии (увеличенная выработка гормона роста)
- Вредные привычки: сосание пальца или губы, подкладывание руки под щеку во время сна
- Хронические лор-заболевания, вызывающие нарушение носового дыхания
- Новообразования в области лица
- Травмы лицевого скелета
Диагностика мезиального прикуса
Проведение диагностических исследований – важнейших этап в лечении мезиального прикуса. Диагностика состоит из нескольких процедур:
- опрос пациента;
- осмотр лица – для анализа внешних черт лица, их симметричности, профиля и расположения челюстей;
- осмотр полости рта – для выявления расположения и состояние зубов, соотношения зубных рядов;
- пальпация височно-нижнечелюстных суставов и при необходимости – их рентгенография;
- функциональные пробы – для определения качества смыкания губ, степени напряжения лицевых и шейных мышц;
- компьютерная томография – для выяснения состояния костной ткани, расположения зубных корней, положения суставных головок челюстных суставов;
- телерентгенография – для определения типа аномалии: скелетная или мягких тканей;
- рентгенография – для выявления возможных патологий зубов и окружающих их тканей (по показаниям);
- моделирование челюстей пациента по индивидуальным слепкам для детального изучения прикуса и разработки плана лечения.
К сведению: все филиалы «Улыбнись» оснащены высокоточным диагностическим оборудованием, в том числе – рентген-аппаратами с функцией 3D ORTHOPHOS XG производства Германии.
Методы коррекции мезиального прикуса
Метод терапии патологии прикуса зависит от тяжести и особенностей клинического случая, а также от возраста пациента. Поэтому врач-ортодонт может применить один из нижеописанных способов или их комбинацию.
Методы коррекции мезиального прикуса:
- миофункциональная гимнастика – для укрепления лицевых мышц, отвечающих за движение нижней челюсти;
- ортопедическое лечение;
- ортодонтическая терапия – исправление прикуса с помощью различных ортодонтических аппаратов;
- хирургическое вмешательство (ортогнатическая операция) – для укорочения нижней челюсти.
- Если мезиальная патология диагностирована у ребенка с молочным прикусом, то методы лечения следующие:
- миогимнастика;
- пластика уздечки языка;
- ортодонтическая терапия с использованием пластинки Хинца или Шонхера, вестибулярной пластинки с упором для языка, нёбного расширителя (при недоразвитии верхней челюсти).
Лечение мезиального зубочелюстного дефекта в сменном прикусе осуществляется с помощью таких ортодонтических аппаратов: Андрезена-Гойпля, Персина, активатора Кламмта, Хоффмана.
Исправление мезиального прикуса при постоянных зубах наши врачи выполняют с использованием брекетов и дополнительных межчелюстных тяг. При скученности зубов или наличии сверхкомплектных ортодонтическую терапию начинают с удаления «лишних» зубных единиц. В некоторых случаях для лечения применяют ортодонтические каппы – элайнеры. Их действие аналогично брекетам. Чаще всего коррекцию сложных случаев мезиального прикуса проводят комбинированным методом – с помощью ортогнатической операции и ортодонтической терапии (для изменения формы и/или размера челюсти). Хирургическое вмешательство выполняют в специализированном стационаре. В нашей сети клиник мы проводим ортодонтические этапы хирургического лечения (до и после операции).
Примечание: наши врачи-ортодонты для исправления мезиального прикуса используют только наиболее результативные модели ортодонтических аппаратов:
- аппараты Хаас, Марко Роса, Твин блок, Дерихсвайлер и др.;
- металлические брекет-системы Biomim, DamonQ, H4, Carriere;
- керамические брекеты Advanced, Damon Clear, Carriere Clear;
- элайнеры FlexiLigner.
Этапы исправления мезиального прикуса
Почему коррекция мезиального прикуса обязательна
Мезиальная окклюзия опасна тем, что может прогрессировать с течением времени. Поэтому ее исправление нужно начинать сразу при обнаружении ее симптомов. Чем раньше начать лечение, тем проще будет справиться с проблемой.
Осложнения патологии:
- Искривление, повороты и сдвиги зубов
- Дисфункция жевательного аппарата → проблемы с откусыванием и жеванием пищи
- Негативное влияние на артикуляцию и произношение
- Боли в области челюстей и ВНЧС
- Чрезмерная истираемость зубов → возрастание риска развития кариеса и пародонтита
8 причин для выбора стоматологии «Улыбнись»
- Положительные рекомендации
Нас рекомендуют пациенты, уже прошедшие у нас лечение
- Высокий профессионализм персонала
Все наши специалисты имеют высокую медицинскую квалификацию и опыт работы, а также постоянно совершенствуют свое мастерство на курсах и мастер-классах
- Широкий спектр стоматологических услуг
У нас можно получить услуги лечения, протезирования и удаления зубов, лечения пародонта, коррекции неправильного прикуса
- Современное оборудование
Все наши филиалы оснащены инновационным оборудованием экспертного класса
- Безопасность и стерильность
Строгое соблюдение правил безопасности и стерильности, что обеспечивает безопасность пациентов и предотвращает появление инфекций
- Удобный график работы
Мы работаем ежедневно с 9 до 21 часа, в воскресенье – с 10 до 16 часов
- Доступная стоимость услуг
Наши цены фиксированы, с ними можно ознакомиться в нашем прайс-листе на сайте
- Возможность лечения в рассрочку
Оплатить исправление прикуса можно по частям
Записывайтесь на консультацию к врачу-ортодонту в один из филиалов нашей клиники, узнайте о том, как будет выполнено исправление мезиального прикуса в вашем клиническом случае. Наши стоматологические центры расположены в Москве в районе станций метро «Шелепиха» и «Алексеевская».
Видео: Сеть стоматологий «Улыбнись»
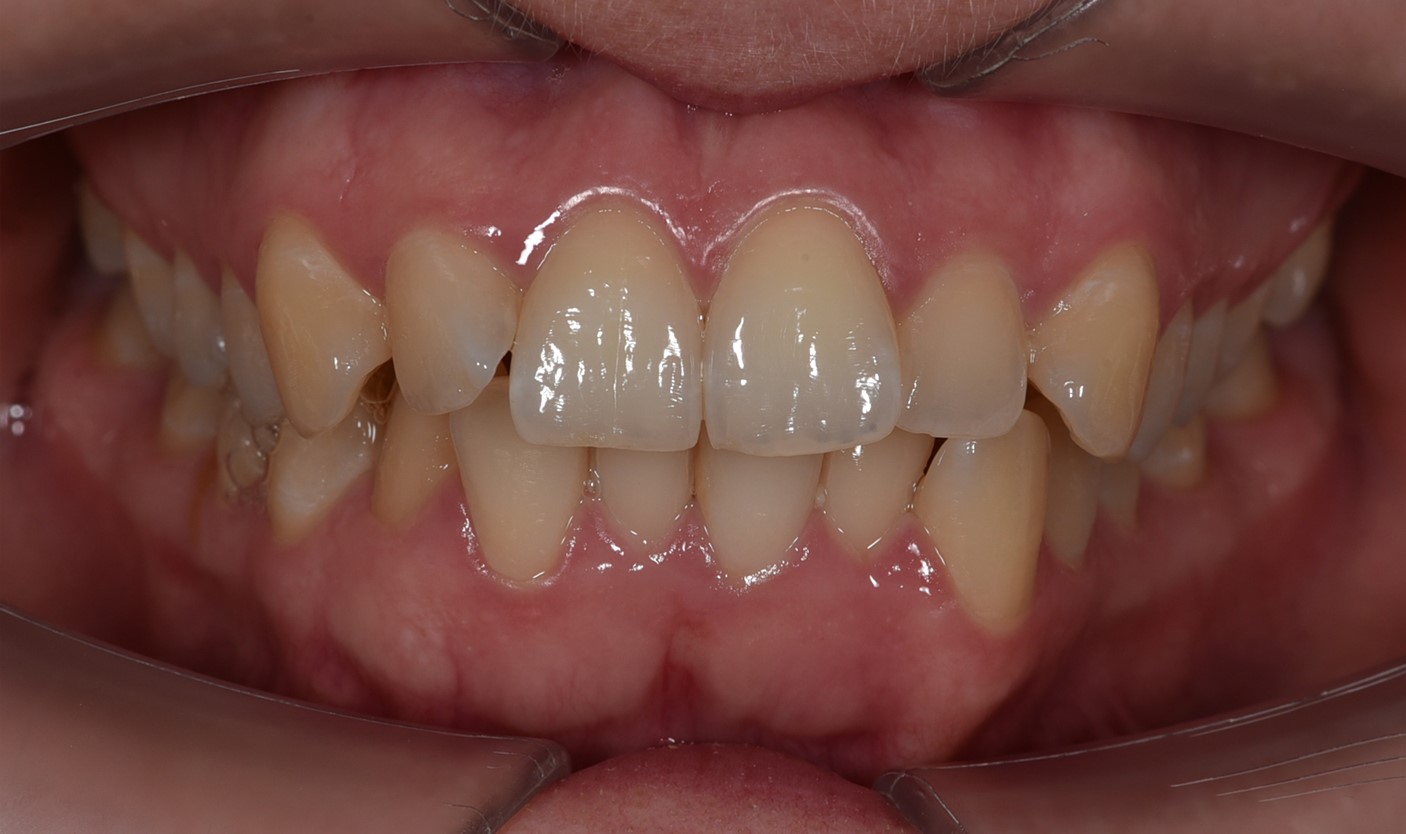
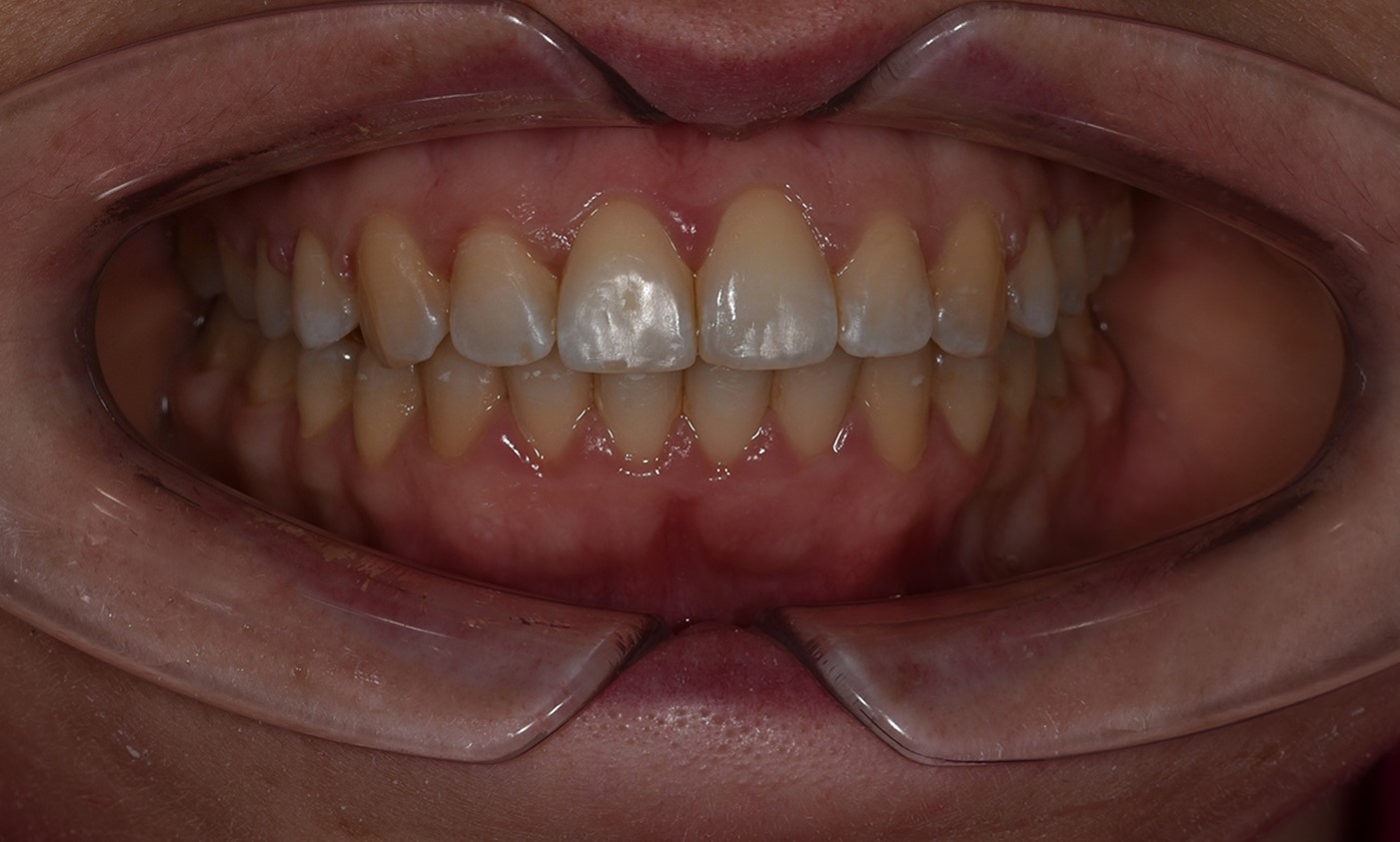
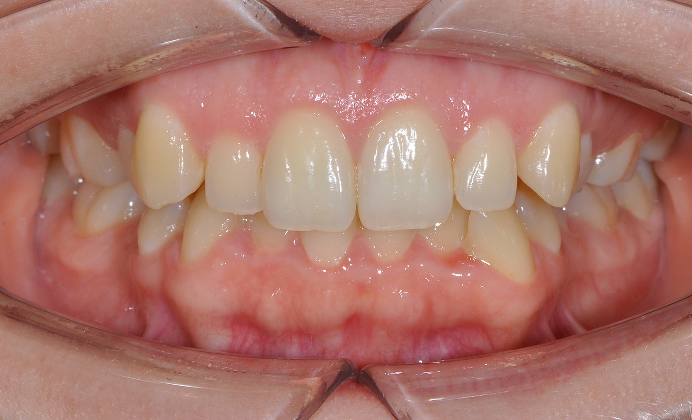
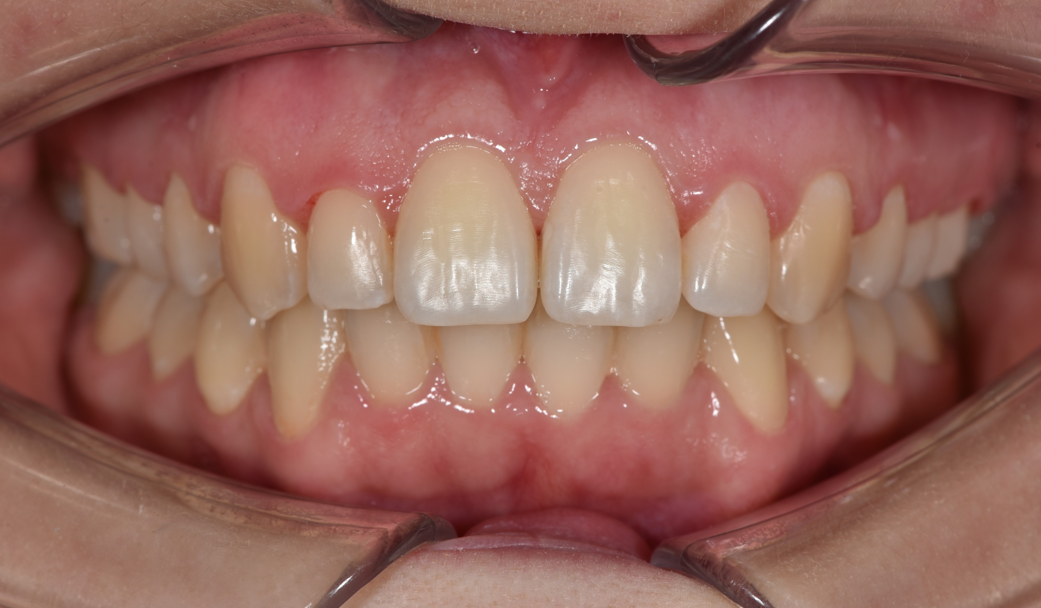
Фото до и после лечения











Стоматология работает без выходных! Есть оплата в рассрочку!
Наши работы



Ответы на часто задаваемые вопросы
Фотогалерея








Наши Врачи
Заказать обратный звонок
Оформите заявку на сайте, мы свяжемся с вами в ближайшее
время и ответим на все интересующие вопросы.
|
Запись онлайн
|
Интерьеры клиники на Шелепихе








Интерьеры клиники на Алексеевской








Читайте также
Отзывы пациентов
Хочу сказать спасибо за проделанную работу. Вот уже 2года как я без брекетов. Сегодня был на очередном осмотре, все отлично! Благодарю за результат!!!
Очень внимательный и аккуратный доктор. Вот же год как я с брекетами, зубы практически не болят, двигаются хорошо, я уже доволен результатом, но доктор говорит надо еще над прикусом поработать, носим резинки!Спасибо за заботу!!!!
Возможен как наличный, так и безналичный расчет
Банузова Т.А. и Ременская С.О работают по индивидуальному прайс-листу(стоимость лечения от 350 т.р).
Стоимость сложных случаев с подготовкой к ортогнатической хирургии: стоимость лечения+10%