
Еще совсем недавно патологии зубочелюстной системы в детском возрасте до 11-12 лет можно было исправлять только пластинками, трейнерами и ретейнерами. Современная ортодонтия предлагает достойную альтернативу – элайнеры для детей. Теперь лечение ортодонтическими каппами возможно и у маленьких пациентов. Сеть стоматологий «Улыбнись» предлагает услуги выравнивания зубов у детей элайнерами по доступным ценам. Комфортное исправление прикуса – это возможно!
Что такое «флексики»
Модели ортодонтических капп (элайнеров) для взрослых и маленьких пациентов не отличаются по принципу воздействия на зубы и механизму их передвижения. Тем не менее, ортодонты разработали элайнеры специально для детей, с учетом особенностей зубочелюстной системы в период активного роста. Они отличаются идеальным прилеганием, что обеспечивает равномерное распределение нагрузки по всей плоскости и плавное передвижение зубов в заданном направлении.


Специалисты нашей сети клиник применяют для лечения детей со сменным прикусом (т. е. с возраста 6-8 лет) эффективные модели, прошедшие апробацию в ведущих стоматологических клиниках мира. К таковым относятся Kids Light и FlexiLigner (их еще называют «флексики»). Это прозрачные съемные капы-накладки на зубные ряды, которые носят круглосуточно за исключением приема пищи и чистки зубов. Их изготавливают индивидуально для каждого пациента, комплектом от 17 экземпляров и больше – в зависимости от сложности клинического случая.
Показания к коррекционной терапии на элайнерах
- Патологии прикуса (мезиальный, перекрестный) малой и средней степени тяжести
- Диастемы и тремы (увеличенные промежутки между передними или другими зубами соответственно)
- Ротация зубов (изменение ориентации и положения в зубной дуге)
- Укороченный или узкий зубной ряд
- Обеспечение правильного роста зубов в будущем (в постоянном прикусе)

Примечание: в основном дефекты прикуса заметны даже непрофессионалу. Тем не менее, некоторые патологии может выявить только ортодонт. Поэтому показать ребенка специалисту нужно уже в возрасте 5-6 лет. Своевременно выявленная аномалия дает возможность начать лечение на раннем этапе, поэтому потребует гораздо меньше времени, чем у взрослого человека.
Преимущества применения элайнеров
- Комфортность процесса коррекции
- ребенок быстро адаптируется к ношению флексилайнеров
- нет металлических деталей, вызывающих дискомфорт
- не нужна специальная диета
- флексики практически не заметны
- Высокая эффективность лечения
- предсказуемость результата
- большой перечень показаний
- Хорошая мотивация ребенка на ношение флексов
- возможность компьютерной визуализации
- программное обеспечение позволяет увидеть ход процесса
- Гипоаллергенность
- материал капы не вызывает аллергию
- Простота гигиенического ухода
- каппы можно снять и тщательно их помыть
- чистка зубов выполняется как обычно
Сеть многопрофильных центров «Улыбнись» в Москве предлагает услуги исправления прикуса, в том числе – элайнерами для детей. Мы предоставляем рассрочку оплаты на весь срок терапии. Цены можно посмотреть в прайсе на нашем сайте. У нас работают специалисты высокого квалификационного уровня с опытом лечения маленьких пациентов. Мы ждем вас ежедневно в филиалах, расположенных в пешей доступности от станций метро «Алексеевская» и «Шелепиха». У вашего ребенка будет красивая улыбка!
Видео: Сеть стоматологий «Улыбнись»
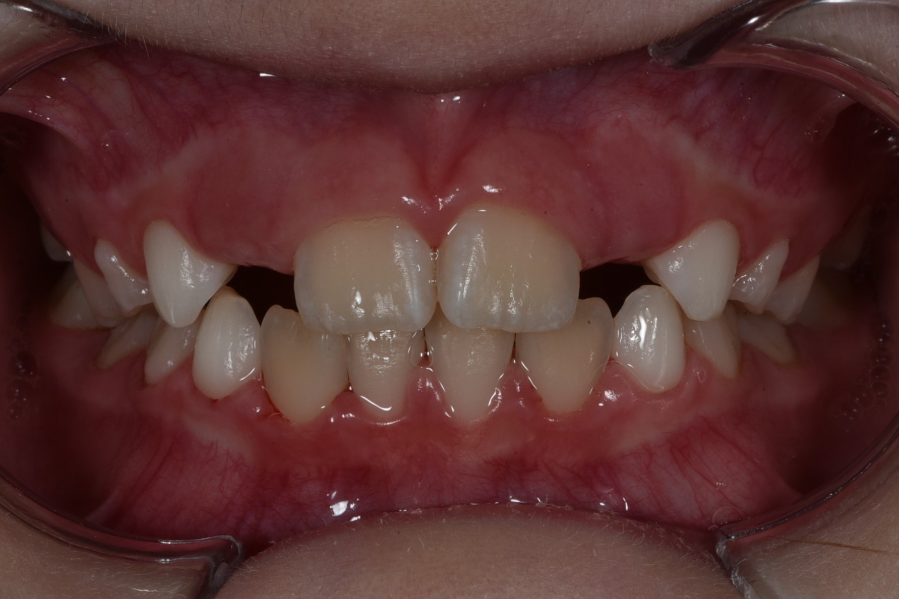
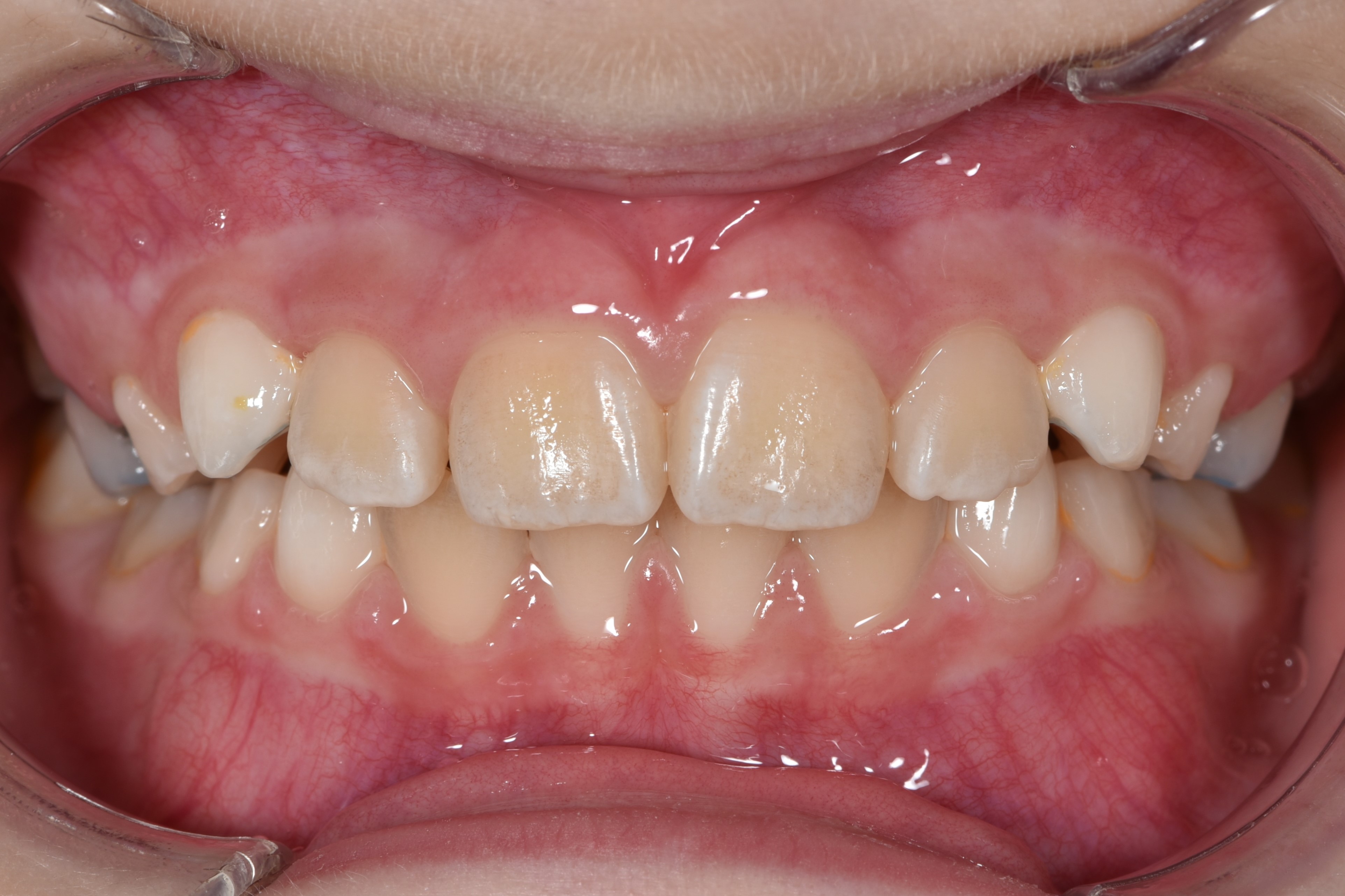
Фото до и после лечения













Стоматология работает без выходных! Есть оплата в рассрочку!
Наши работы



Ответы на часто задаваемые вопросы
Фотогалерея








Наши Врачи
Заказать обратный звонок
Оформите заявку на сайте, мы свяжемся с вами в ближайшее
время и ответим на все интересующие вопросы.
|
Запись онлайн
|
Интерьеры клиники на Шелепихе








Интерьеры клиники на Алексеевской








Читайте также
Отзывы пациентов
Здравствуйте! Очень довольна тем, как закончился курс коррекции на брекетах. Мой лечащий врач Галина Сергеевна проделала огромную и кропотливую работу, за что ей большое спасибо
Уже полгода как я лечусь у вас.К брекетам привыкла быстро,практически ничего не болит. Муж теперь готов тоже на ортодонтическое лечение,был у вас на консультации,вы убедили)))так что теперь у нас семейство брекетоносцев!спасибо за позитивное лечение!
Возможен как наличный, так и безналичный расчет
Банузова Т.А. и Ременская С.О работают по индивидуальному прайс-листу(стоимость лечения от 350 т.р).
Стоимость сложных случаев с подготовкой к ортогнатической хирургии: стоимость лечения+10%